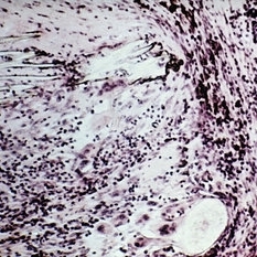
-
Slide 7-9
Feb 25 2019 by Lancaster Course in Ophthalmology
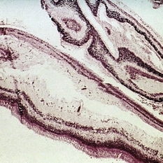
Subepithelial bullae in ocular pemphigoid.
Condition/keywords: subepithelial bullae
-
Slide 7-10
Feb 25 2019 by Lancaster Course in Ophthalmology
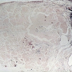
Conjunctival granulomas in a case of sarcoidosis.
Condition/keywords: granuloma, sarcoidosis
-
Slide 7-11
Feb 25 2019 by Lancaster Course in Ophthalmology
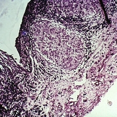
Noncaseating granuloma of the conjunctiva in a case of sarcoidosis.
Condition/keywords: conjunctiva, granuloma, sarcoidosis
-
Slide 7-12
Feb 25 2019 by Lancaster Course in Ophthalmology
Pingueculum showing masses of fragmented fibers resembling actinic elastosis.
Condition/keywords: actinic elastosis, pinguecula
-
Slide 7-13
Feb 25 2019 by Lancaster Course in Ophthalmology
Amyloidosis of the conjunctiva.
Condition/keywords: amyloidosis, conjunctiva
-
Slide 7-14
Feb 25 2019 by Lancaster Course in Ophthalmology
Amyloidosis of the conjunctiva showing clumps of pink, acellular material.
Condition/keywords: acellular, amyloidosis, conjunctiva
-
Slide 7-15
Feb 25 2019 by Lancaster Course in Ophthalmology
Conjunctival epithelial inclusion cyst.
Condition/keywords: cyst, epithelial
-
Slide 7-16
Feb 25 2019 by Lancaster Course in Ophthalmology
Papilloma of the conjunctiva.
Condition/keywords: conjunctiva, papilloma
-
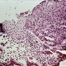
Slide 7-17
Feb 25 2019 by Lancaster Course in Ophthalmology
Papilloma of the conjunctiva showing fronds of acanthotic epithelium with central fibrovascular cores.
Condition/keywords: acanthosis, conjunctiva, papilloma
-
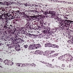
Slide 7-18
Feb 25 2019 by Lancaster Course in Ophthalmology
Carcinoma-in-situ. The lesion is pink, plaquoid, and vascular.
Condition/keywords: placoid
-
Slide 7-19
Feb 25 2019 by Lancaster Course in Ophthalmology
Carcinoma-in-situ. There is an abrupt change from normal conjunctiva (left) to carcinoma-in-situ.
Condition/keywords: conjunctiva
-
Slide 7-20
Feb 25 2019 by Lancaster Course in Ophthalmology
Carcinoma-in-situ. Although there is a zone of inflammation beneath the tumor, the carcinoma has not invaded beneath its own basement membrane.
Condition/keywords: tumor
-
Slide 7-21
Feb 25 2019 by Lancaster Course in Ophthalmology
Squamous cell carcinoma of the conjunctiva may present as an exuberant tumor mass.
Condition/keywords: conjunctiva, tumor
-
Slide 7-22
Feb 25 2019 by Lancaster Course in Ophthalmology
Squamous cell carcinoma of the conjunctiva with invasion into the substantia propria.
Condition/keywords: conjunctiva, substantia propia
-
Slide 7-23
Feb 25 2019 by Lancaster Course in Ophthalmology
Benign nevus of the conjunctiva.
Condition/keywords: conjunctiva, nevus
-
Slide 7-24
Feb 25 2019 by Lancaster Course in Ophthalmology
Nevus of the conjunctiva. Clusters of benign nevus cells surround an epithelial inclusion cyst.
Condition/keywords: conjunctiva, cyst, epithelial, nevus
-
Slide 7-25
Feb 25 2019 by Lancaster Course in Ophthalmology
Melanoma arising from acquired melanosis.
Condition/keywords: melanoma, melanosis
-
Slide 7-26
Feb 25 2019 by Lancaster Course in Ophthalmology
Acquired melanosis of the conjunctiva showing hyperpigmentation of the basal layer of the epithelium.
Condition/keywords: conjunctiva, epithelium, melanosis
-
Slide 7-27
Feb 25 2019 by Lancaster Course in Ophthalmology
Melanoma of the conjunctiva arising from acquired melanosis.
Condition/keywords: conjunctiva, melanoma, melanosis
-
Slide 7-28
Feb 25 2019 by Lancaster Course in Ophthalmology
Lymphoid tumor of the conjunctiva.
Condition/keywords: conjunctiva, tumor
-
Slide 7-29
Feb 25 2019 by Lancaster Course in Ophthalmology
Benign lymphoid hyperplasia of the conjunctiva may resemble a normal lymph node.
Condition/keywords: conjunctiva, hyperplasia, lymph node
-
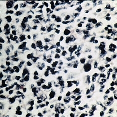
Slide 7-30
Feb 25 2019 by Lancaster Course in Ophthalmology
Pleomorphism, rather than polymorphism, characterizes a malignant lymphoma.
Condition/keywords: lymphoma, pleomorphism
-
Slide 7-31
Feb 25 2019 by Lancaster Course in Ophthalmology
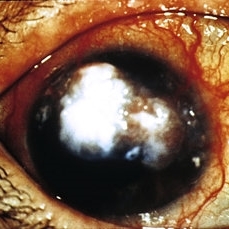
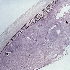
Keloid of the cornea. The entire cornea has been replaced by thickened, dense scar tissue.
Condition/keywords: cornea, scar
-
Slide 7-32
Feb 25 2019 by Lancaster Course in Ophthalmology
In posterior embryotoxon, the anteriorly displaced, prominent Schwalbe's ring can be seen in the periphery of the cornea.
Condition/keywords: cornea, embryotoxon, Schwalbe's ring
-
Slide 7-33
Feb 25 2019 by Lancaster Course in Ophthalmology
Gonioscopy of Axenfeld's syndrome.
Condition/keywords: Axenfeld-Rieger syndrome, gonioscopy
-
Slide 7-34
Feb 25 2019 by Lancaster Course in Ophthalmology
Posterior embryotoxon with iris tissue bridging the anterior chamber and attaching to the prominent Schwalbe's ring.
Condition/keywords: embryotoxon, iris, Schwalbe's ring
-
Slide 7-35
Feb 25 2019 by Lancaster Course in Ophthalmology
In interstitial keratitis, the only pathology noted is the presence of blood vessels in the deep stroma.
Condition/keywords: interstitial keratitis, stroma
-
Slide 7-36
Feb 25 2019 by Lancaster Course in Ophthalmology
Herpes simplex keratitis is characterized by irregularity of the epithelium, patchy loss of Bowman's membrane, infiltration by lymphocytes and plasma cells, and vascularization of the stroma.
Condition/keywords: Bowman's membrane, epithelium, Herpes, lymphocytes, plasma cells, stroma
-
Slide 7-37
Feb 25 2019 by Lancaster Course in Ophthalmology
Mooren's ulcer showing the characteristic undermining edge.
Condition/keywords: Mooren's ulcer
-
Slide 7-38
Feb 25 2019 by Lancaster Course in Ophthalmology
Terrien's ulcer with vascularization.
Condition/keywords: Terrien's ulcer
-
Slide 7-39
Feb 25 2019 by Lancaster Course in Ophthalmology
Fibrous pannus is present between the epithelium and Bowman's membrane. Epithelial nests are within the pannus.
Condition/keywords: epithelial, fibrous pannus
-
Slide 7-40
Feb 25 2019 by Lancaster Course in Ophthalmology
Band keratopathy is characterized by calcium deposition in Bowman's membrane.
Condition/keywords: Bowman's membrane, keratopathy
-
Slide 7-41
Feb 25 2019 by Lancaster Course in Ophthalmology
Keratoconus showing central thinning and scarring of the corneal button.
Condition/keywords: cornea, scar
-
Slide 7-42
Feb 25 2019 by Lancaster Course in Ophthalmology
Granular dystrophy showing discrete opacities with clear cornea between the lesions.
Condition/keywords: cornea, granular corneal dystrophy
-
Slide 7-43
Feb 25 2019 by Lancaster Course in Ophthalmology
Granular dystrophy showing clumps of hyaline degeneration beneath the epithelium and in the stroma which stain red with Masson trichrome stain in comparison to the normal blue background.
Condition/keywords: epithelium, granular corneal dystrophy, hyaline degeneration, stroma
-
Slide 7-44
Feb 25 2019 by Lancaster Course in Ophthalmology
The entire cornea shows a diffuse haziness in the macular dystrophy.
Condition/keywords: cornea, macular dystrophy
-
Slide 7-45
Feb 25 2019 by Lancaster Course in Ophthalmology
Macular dystrophy is characterized by accumulation of blue-staining acid mucopolysaccharide in the anterior stroma.
Condition/keywords: macular dystrophy, mucopolysaccharidoses, stroma
-
Slide 7-46
Feb 25 2019 by Lancaster Course in Ophthalmology
Lattice dystrophy showing criss-crossing opacities.
Condition/keywords: lattice dystrophy
-
Slide 7-47
Feb 25 2019 by Lancaster Course in Ophthalmology
On routine hematoxylin and eosin stained sections, the lesions of lattice dystrophy are pinker than the surrounding stroma and are fusiform in shape.
Condition/keywords: lattice dystrophy, stroma
-
Slide 7-48
Feb 25 2019 by Lancaster Course in Ophthalmology
Lattice dystrophy is an amyloid degeneration and stains with the fluorescent stain, thioflavin-T.
Condition/keywords: lattice dystrophy
-
Slide 7-49
Feb 25 2019 by Lancaster Course in Ophthalmology
Fuchs' dystrophy is characterized by loss of endothelial cells, thickening of Descemet's membrane, and guttate excrescences of Descemet's membrane.
Condition/keywords: descemet's membrane, endothelial, Fuchs
-
Slide 7-50
Feb 25 2019 by Lancaster Course in Ophthalmology
Blood-staining of the cornea.
Condition/keywords: blood-staining, cornea
-
Slide 7-51
Feb 25 2019 by Lancaster Course in Ophthalmology
Blood-staining of the cornea. Note the myriad of minute red granules throughout the corneal stroma.
Condition/keywords: blood-staining, cornea, stroma
-
Slide 7-52
Feb 25 2019 by Lancaster Course in Ophthalmology
Epinephrine plaque of the cornea.
Condition/keywords: cornea, plaque
-
Slide 7-53
Feb 25 2019 by Lancaster Course in Ophthalmology
A Prussian blue stain demonstrates iron in the epithelial cells of the cornea.
Condition/keywords: cornea, epithelial
-
Slide 7-54
Feb 25 2019 by Lancaster Course in Ophthalmology
Kayser-Fleischer ring in the peripheral cornea.
Condition/keywords: cornea, Kayser-Fleischer ring
-
Slide 7-55
Feb 25 2019 by Lancaster Course in Ophthalmology
Kayser-Fleischer ring. The copper is seen as a brown line in the posterior half of Descemet's membrane.
Condition/keywords: descemet's membrane, Kayser-Fleischer ring
-
Slide 7-56
Feb 25 2019 by Lancaster Course in Ophthalmology
Whorl-like pattern of cornea in Fabry's disease.
Condition/keywords: cornea, Fabry's disease
-
Slide 7-57
Feb 25 2019 by Lancaster Course in Ophthalmology
Diffuse clouding of the cornea in one of the mucopolysaccharidoses.
Condition/keywords: cornea, mucopolysaccharidoses
-
Slide 7-58
Feb 25 2019 by Lancaster Course in Ophthalmology
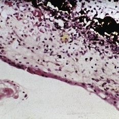
Scleritis showing marked granulomatous inflammation of the sclera.
Condition/keywords: sclera, scleritis
-
Slide 7-59
Feb 25 2019 by Lancaster Course in Ophthalmology
Fibrinoid necrosis of the sclera with palisading of granulomatous inflammation at the edge of the necrosis.
Condition/keywords: fibrinoid, sclera
-
Slide 7-60
Feb 25 2019 by Lancaster Course in Ophthalmology
Marked thickening of the sclera in scleritis.
Condition/keywords: sclera, scleritis
-
Slide 7-61
Feb 25 2019 by Lancaster Course in Ophthalmology
"Porcelain" appearance of the cornea after alkali burn.
Condition/keywords: alkali burn, cornea
-
Slide 7-62
Feb 25 2019 by Lancaster Course in Ophthalmology
Alkali burn. The stroma shows marked architectural disarray as well as chronic inflammation.
Condition/keywords: alkali burn, chronic inflammation, stroma
-
Slide 7-63
Feb 25 2019 by Lancaster Course in Ophthalmology
True exfoliation of the lens capsule showing a splitting of the capsule.
Condition/keywords: lens capsule, splitting
-
Slide 7-64
Feb 25 2019 by Lancaster Course in Ophthalmology
Rupture of Descemet's membrane with a gap in the posterior stroma.
Condition/keywords: descemet's membrane, rupture, stroma
-
Slide 7-65
Feb 25 2019 by Lancaster Course in Ophthalmology
Vessel in the face of the ciliary body.
Condition/keywords: ciliary
-
Slide 7-66
Feb 25 2019 by Lancaster Course in Ophthalmology
Traumatic iridodialysis.
Condition/keywords: iridodialysis, trauma
-
Slide 7-67
Feb 25 2019 by Lancaster Course in Ophthalmology
Traumatic cyclodialysis.
Condition/keywords: cyclodialysis, trauma
-
Slide 7-68
Feb 25 2019 by Lancaster Course in Ophthalmology
Traumatic tear in the face of the ciliary body.
Condition/keywords: ciliary, trauma
-
Slide 7-69
Feb 25 2019 by Lancaster Course in Ophthalmology
"Hills and valleys" appearance of postcontusion angle recession.
Condition/keywords: angle recession
-
Slide 7-70
Feb 25 2019 by Lancaster Course in Ophthalmology
Postcontusion angle recession. Note the retrodisplacement of the Iris root.
Condition/keywords: angle recession, iris root, retrodisplacement
-
Slide 7-71
Feb 25 2019 by Lancaster Course in Ophthalmology
Postcontusion angle recession (top) compared to normal (bottom)· The pencil line is on the scleral spur and is parallel to the anteroposterior axis of the globe. In the normal wedge, the iris root is on this line, but in the case of angle recession, the iris root is retrodisplaced.
Condition/keywords: angle recession, iris root, scleral spur
-
Slide 7-72
Feb 25 2019 by Lancaster Course in Ophthalmology
Endothelialization of the angle. Endothelium and Descemet's membrane have grown down to cover the trabecular meshwork.
Condition/keywords: descemet's membrane, endothelial, endothelium
-
Slide 7-73
Feb 25 2019 by Lancaster Course in Ophthalmology
A dense, fibrous plaque occupies the anterior chamber as the result of organization of a hyphema.
Condition/keywords: anterior chamber, hyphema, plaque
-
Slide 7-74
Feb 25 2019 by Lancaster Course in Ophthalmology
Vossius ring showing a ring of pigment on the surface of the lens following blunt trauma.
Condition/keywords: lens, trauma, Vossius ring
-
Slide 7-75
Feb 25 2019 by Lancaster Course in Ophthalmology
Phacolytic glaucoma. Lens-laden macrophages line the anterior surface of the iris and the trabecular meshwork.
Condition/keywords: iris, macrophages, phacolytic glaucoma
-
Slide 7-76
Feb 25 2019 by Lancaster Course in Ophthalmology
Phacolytic glaucoma with recessed angle.
Condition/keywords: phacolytic glaucoma
-
Slide 7-77
Feb 25 2019 by Lancaster Course in Ophthalmology
Lens dislocated into the anterior chamber.
Condition/keywords: dislocated lens, lens
-
Slide 7-78
Feb 25 2019 by Lancaster Course in Ophthalmology
Commotio retinae (Berlin's edema).
Condition/keywords: Berlin's edema, commotio retinae
-
Slide 7-79
Feb 25 2019 by Lancaster Course in Ophthalmology
Macular hole after commotio retinae.
Condition/keywords: commotio retinae, macular hole
-
Slide 7-80
Feb 25 2019 by Lancaster Course in Ophthalmology
Severe blunt trauma has produced hemorrhage beneath, in, and in front of the retina.
Condition/keywords: hemorrhage, trauma
-
Slide 7-81
Feb 25 2019 by Lancaster Course in Ophthalmology
Massive retinal gliosis.
Condition/keywords: gliosis
-
Slide 7-82
Feb 25 2019 by Lancaster Course in Ophthalmology
Chorioretinal scarring after blunt trauma.
Condition/keywords: chorioretinal scar, trauma
-
Slide 7-83
Feb 25 2019 by Lancaster Course in Ophthalmology
Traumatic retinopathy showing loss of retinal architecture, patchy disruption of the retinal pigment epithelium, and migration of pigment into the atrophic retina.
Condition/keywords: epithelium, retinopathy
-
Slide 7-84
Feb 25 2019 by Lancaster Course in Ophthalmology
Cholesterolosis of the vitreous. Note the empty cholesterol clefts.
Condition/keywords: cholesterol clefts, cholesterolosis, vitreous
-
Slide 7-85
Feb 25 2019 by Lancaster Course in Ophthalmology
Hemolytic glaucoma. Erythrocytes from a vitreous hemorrhage have gained access to the anterior chamber where they have been engulfed by macrophages and occlude the outflow channels.
Condition/keywords: anterior chamber, erythrocytes, glaucoma, vitreous hemorrhage
-
Slide 7-86
Feb 25 2019 by Lancaster Course in Ophthalmology
Evulsion of the optic nerve.
Condition/keywords: evulsion, optic nerve
-
Slide 7-87
Feb 25 2019 by Lancaster Course in Ophthalmology
Evulsion of the optic nerve. Note that the retina is prolapsed through the evulsed nerve.
Condition/keywords: evulsion, optic nerve, prolapsed
-
Slide 7-88
Feb 25 2019 by Lancaster Course in Ophthalmology
Totally disorganized ruptured globe.
Condition/keywords: ruptured globe
-
Slide 7-89
Feb 25 2019 by Lancaster Course in Ophthalmology
Strips of retina removed from a scleral laceration.
Condition/keywords: scleral laceration
-
Slide 7-90
Feb 25 2019 by Lancaster Course in Ophthalmology
Phacoanaphylaxis. The lens (upper left) is surrounded by an intense granulomatous inflammatory reaction. Note the ruptured lens capsule which is thrown into folds.
Condition/keywords: uveitis
-
Slide 7-91
Feb 25 2019 by Lancaster Course in Ophthalmology
Phacoanaphylaxis. The iris is bound down to the granulomatous reaction which surrounds the lens.
Condition/keywords: uveitis
-
Slide 7-96
Feb 25 2019 by Lancaster Course in Ophthalmology
Vegetable fiber in the eye has caused an intense inflammatory reaction.
Condition/keywords: intense inflammatory reaction
-
Slide 7-99
Feb 25 2019 by Lancaster Course in Ophthalmology
Epithelial downgrowth. Note the film on the back of the cornea.
Condition/keywords: epithelial
-
Slide 7-101
Feb 25 2019 by Lancaster Course in Ophthalmology
Epithelial downgrowth. The epithelium lines the back of the cornea, the angle, and the anterior surface of the iris.
Condition/keywords: cornea, epithelial, iris
-
Slide 7-102
Feb 25 2019 by Lancaster Course in Ophthalmology
Epithelial downgrowth. The epithelium has grown onto the posterior surface of the iris.
Condition/keywords: epithelial, epithelium, iris
-
Slide 7-103
Feb 25 2019 by Lancaster Course in Ophthalmology
Fibrous downgrowth. Fibrous tissue extends through the iridectomy site into the posterior chamber.
Condition/keywords: Fibrous downgrowth, peripheral iridotomy
-
Slide 7-104
Feb 25 2019 by Lancaster Course in Ophthalmology
Poor wound apposition and gaping of the posterior aspect of a cataract incision.
Condition/keywords: cataract incision
-
Slide 7-106
Feb 25 2019 by Lancaster Course in Ophthalmology
Peripheral anterior synechia is often seen in eyes that have had anterior segment surgery.
Condition/keywords: anterior synechiae
-
Slide 7-107
Feb 25 2019 by Lancaster Course in Ophthalmology
Implantation cyst on the surface of the iris.
Condition/keywords: cyst, iris
-
Slide 7-108
Feb 25 2019 by Lancaster Course in Ophthalmology
Expulsive hemorrhage. The blood lifts the choroid away from the sclera.
Condition/keywords: choroid, expulsive choroidal hemorrhage, sclera
-
Slide 7-109
Feb 25 2019 by Lancaster Course in Ophthalmology
Lamellar graft. Descemet's membrane and endothelium are not present.
Condition/keywords: lamellar graft
-
Slide 7-111
Feb 25 2019 by Lancaster Course in Ophthalmology
Regraft. A retrocorneal membrane is present posterior to Descemet's membrane.
Condition/keywords: descemet's membrane, regraft, retrocorneal membrane
-
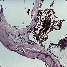
Slide 7-112
Feb 25 2019 by Lancaster Course in Ophthalmology
Cyclodialysis. A cleft filled with blood is present between the ciliary body and the sclera and is continuous with the entrance wound through the sclera.
Condition/keywords: ciliary body mass, cyclodialysis, sclera
-
Slide 7-113
Feb 25 2019 by Lancaster Course in Ophthalmology
Filtering procedure. Note the large defect at the limbus.
Condition/keywords: filtering procedure, limbus
-
Slide 7-114
Feb 25 2019 by Lancaster Course in Ophthalmology
Trabeculectomy. A small defect is present in the area of the trabecular meshwork and is continuous with a linear tract in the sclera.
Condition/keywords: sclera, trabecular meshwork, trabeculectomy
-
Slide 7-115
Feb 25 2019 by Lancaster Course in Ophthalmology
Cyclocryotherapy produces necrosis of the ciliary body.
Condition/keywords: ciliary, cyclocryotherapy, retinal necrosis
-
Slide 7-116
Feb 25 2019 by Lancaster Course in Ophthalmology
Diathermy produces marked atrophy of the retina, the retinal pigment epithelium, and the choroid.
Condition/keywords: atrophy, choroid, diathermy, retinal pigment epithelium
-
Slide 7-117
Feb 25 2019 by Lancaster Course in Ophthalmology
Photocoagulation produces a well-demarcated scar showing abrupt disruption of the retina and pigment epithelium.
Condition/keywords: pan-retinal photocoagulation (PRP), pigment epithelium, scar
-
Slide 7-118
Feb 25 2019 by Lancaster Course in Ophthalmology
Hemorrhage and necrosis anterior to a scleral buckle.
Condition/keywords: hemorrhage, retinal necrosis, scleral buckle
-
Slide 7-120
Feb 25 2019 by Lancaster Course in Ophthalmology
Atrophia bulbi showing intraocular disorganization, scarring, and ossification.
Condition/keywords: atrophia bulbi, intraocular disorganization, ossification, scar
