-
By Lancaster Course in Ophthalmology
1980 - Uploaded on Feb 25, 2019.
- Last modified by Caroline Bozell on Mar 7, 2019.
- Rating
- Appears in
- Unit 07 Diseases of the Conjunctiva Cornea and Sclera
- Condition/keywords
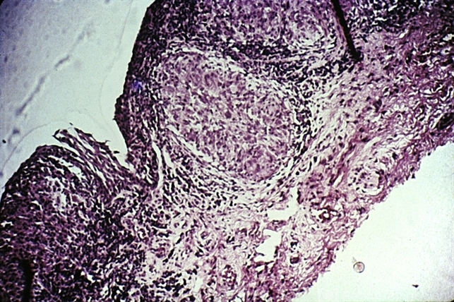
- granuloma, conjunctiva, sarcoidosis
- Description
- Noncaseating granuloma of the conjunctiva in a case of sarcoidosis.

Initializing download.