-
By Lancaster Course in Ophthalmology
1980 - Uploaded on Feb 25, 2019.
- Last modified by Caroline Bozell on Feb 28, 2019.
- Rating
- Appears in
- Unit 05 Diseases of the Eyelids
- Condition/keywords
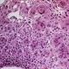
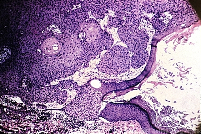
- epithelium, squamous cells
- Description
- Edge of squamous cell carcinoma of the skin showing sudden change from normal epithelium to infiltrating islands of large, malignant squamous cells.

Initializing download.