- 
            
             By Lancaster Course in Ophthalmology By Lancaster Course in Ophthalmology
 1980
- Uploaded on Feb 20, 2019.
- Last modified by Caroline Bozell on Feb 28, 2019.
- Rating
- Appears in
- Unit 05 Diseases of the Eyelids
- Condition/keywords
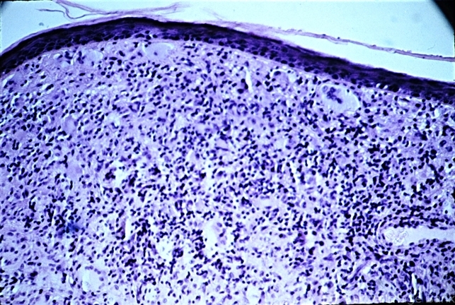
- macrophage accumulation, epidermis, giant cell
- Description
- Bland, foamy macrophage accumulation in the dermis from xanthelasma. Note the single Touton giant cell below the center.

 
        
 Initializing download.
                Initializing download. 
             
             
             
             
             
             
            