-
By Lancaster Course in Ophthalmology
1980 - Uploaded on Feb 19, 2019.
- Last modified by Caroline Bozell on Feb 21, 2019.
- Rating
- Appears in
- Unit 01 Ocular Inflammation
- Condition/keywords
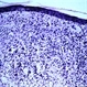
- giant cell, xanthogranuloma, nuclei, cytoplasm
- Description
- Touton giant cells in a xanthogranuloma of the lid. The mid-zone wreath of the nuclei and peripheral foamy cytoplasm are typical. (H&E stain)

Initializing download.