-
By Lancaster Course in Ophthalmology
1980 - Uploaded on Feb 14, 2019.
- Last modified by Caroline Bozell on Feb 21, 2019.
- Rating
- Appears in
- Unit 01 Ocular Inflammation
- Condition/keywords
- choroidal vein, inflammation
- Description
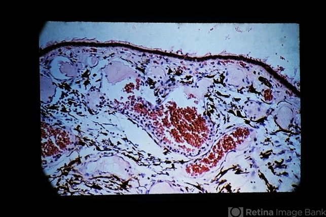
- Dilated choroidal veins in early inflammation. (H&E stain).

Initializing download.