-
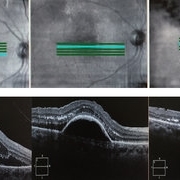
Polypoidal Choroidal Vasculopathy
Jan 31 2019 by Aristofanes Canamary jr
OCT of polypoidal choroidal vasculopathy before and after treatment.
Photographer: Fábio Canamary
Condition/keywords: intravitreal, optical coherence tomography (OCT), polypoidal choroidal vasculopathy (PCV)
