-
By Akshay S Thomas, MD, MS, FASRS
Tennessee Retina, PC - Uploaded on Jun 22, 2018.
- Last modified by Caroline Bozell on Jun 22, 2018.
- Rating
- Appears in
- Miscellaneous
- Condition/keywords
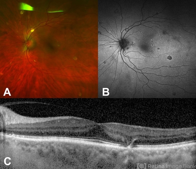
- cryptococcus, cryptococcal chorioretinitis
- Description
- Multimodal imaging 1 year following diagnosis and treatment of cryptococcal choroiditis.

Initializing download.