-
Early Findings in Cryptococcal Choroiditis
Jun 22 2018 by Akshay S Thomas, MD, MS, FASRS
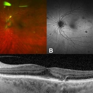
Multimodal imaging shortly following the diagnosis of cryptococcal choroiditis.
Condition/keywords: cryptococcal chorioretinitis, cryptococcus
-
Late Findings in c=Cryptococcal Choroiditis
Jun 22 2018 by Akshay S Thomas, MD, MS, FASRS
Multimodal imaging 1 year following diagnosis and treatment of cryptococcal choroiditis.
Condition/keywords: cryptococcal chorioretinitis, cryptococcus
