-
By John S. King, MD
Retina Associates, PA - Uploaded on Jan 15, 2018.
- Last modified by Chayal Patel on Feb 20, 2018.
- Image of the week
-
Feb 18, 2018
View all images of the week - Rating
- Appears in
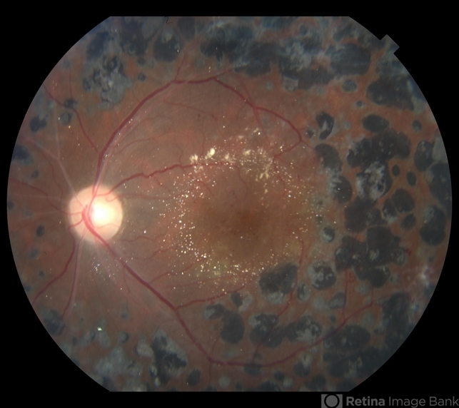
- Crystalline Retinopathy
- Condition/keywords
- triamcinolone
- Photographer
- Kay Evans
- Imaging device
-
Fundus camera
Topcon - Description
- Retinal crystals with history of intravitreal triamcinolone years ago.

Initializing download.