
File number: 27437
Comments
-
Purva Patwari (October 22 2017)
Thank u for your suggestions and appreciation dr subee
-
Suber S. Huang, MD, MBA, FASRS (October 13 2017)
Terrific image, brilliant laser. Consider post-processing to increase contrast to really make this lesions stand out. Well done and thank you!
Sign in to comment.
-
By Purva Patwari
Patwari Retina Clinic
Co-author(s): Ruchi P Tripathi, Optometrist, Ahmedabad - Uploaded on Sep 16, 2017.
- Last modified by Caroline Bozell on Dec 21, 2017.
- Image of the week
-
Dec 31, 2017
View all images of the week - Rating
- Appears in
- Patwari Retina Clinic
- Photographer
- Dr Purva Patwari,Patwari Retina Center,Ahmedabad,India
- Imaging device
-
Fundus camera
Zeiss Visucam 500 - Description
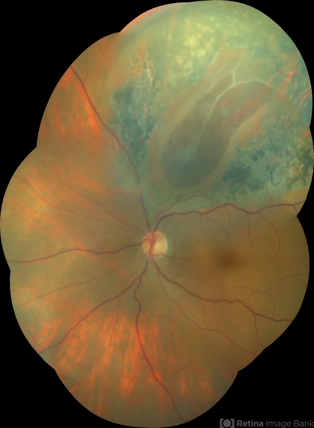
- Asymptomatic horse shoe tear found on preoperative cataract assessment of a 54-year-old male patient. Laser barrage was done and he underwent Phacoemulsification surgery a month later.