File number: 26975
Comments
-
Suber S. Huang, MD, MBA, FASRS (May 5 2017)Super image Kristen. 22 yo media helps but the focus is tack sharp and image perfectly exposed. Thanks!
-
Courtney Crawford, MD, FACS (February 23 2017)
Great photo!
Sign in to comment.
-
By Kristen Wagner
Tennessee Retina - Uploaded on Feb 17, 2017.
- Last modified by Caroline Bozell on Aug 4, 2017.
- Image of the week
-
Aug 13, 2017
View all images of the week - Rating
- Appears in
- Miscellaneous
- Condition/keywords
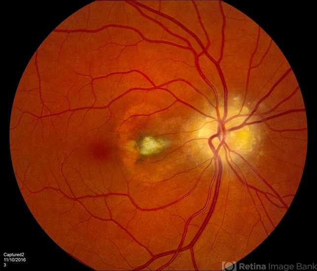
- optic disc drusen, drusen of optic disc, choroidal neovascularization (CNV)
- Photographer
- Kristen Wagner, COT, OSC Ophthalmic Photographer, Tennessee Retina, Nashville TN
- Imaging device
- Fundus camera
- Description
- 22-year-old female fundus photograph of a right eye with Optic Nerve Drusen with Idiopathic CNV.

Initializing download.