-
By Mario Canastro
Ophthalmology Department, Hospital de Santa Maria
Co-author(s): Nuno Pinto Ferreira, MD, MSc; Carlos Marques Neves, MD, PhD - Uploaded on Jan 8, 2017.
- Last modified by Caroline Bozell on Jan 9, 2017.
- Rating
- Appears in
- 8-Jan-2017
- Condition/keywords
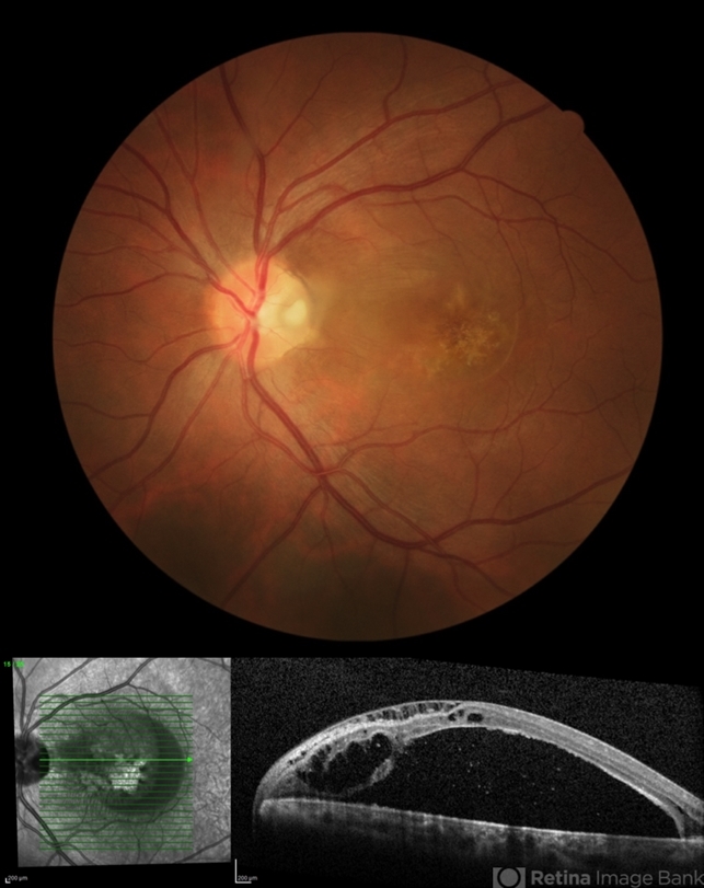
- optic pit, maculopathy
- Photographer
- Mário Canastro, MD, MSc - Serviço de Oftalmologia do Hospital de Santa Maria, Lisboa, Portugal
- Imaging device
-
Optical coherence tomography system
Fundus camera and Heidelberg Spectralis OCT - Description
- Fundus photograph and spectral-domain OCT of an 43-year-old male with left eye optic pit maculopathy.

Initializing download.