-
Optic Pit Maculopathy
Jan 8 2017 by Mario Canastro
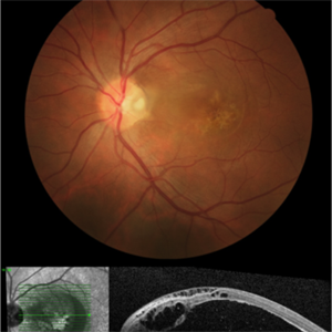
Fundus photograph and spectral-domain OCT of an 43-year-old male with left eye optic pit maculopathy.
Photographer: Mário Canastro, MD, MSc - Serviço de Oftalmologia do Hospital de Santa Maria, Lisboa, Portugal
Imaging device: Fundus camera and Heidelberg Spectralis OCT
Condition/keywords: maculopathy, optic pit
