-
By John S. King, MD
Retina Associates, PA
Co-author(s): Jordan Ball - Uploaded on Jun 20, 2016.
- Last modified by Caroline Bozell on Jun 20, 2016.
- Rating
- Appears in
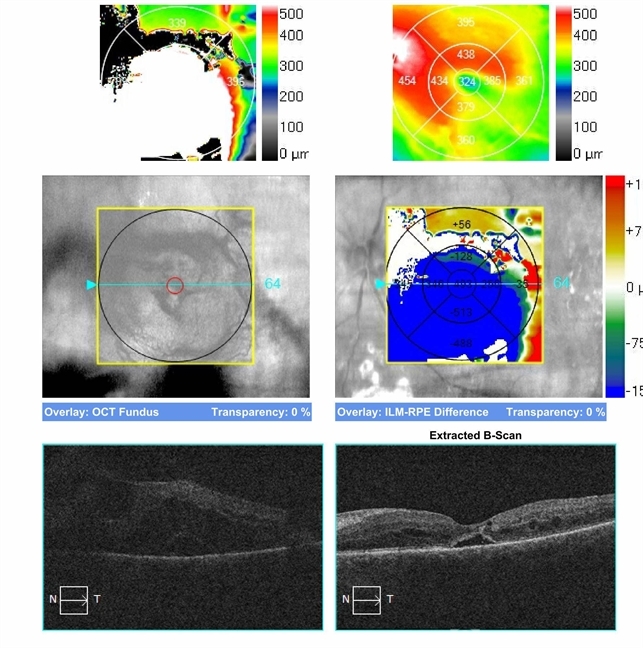
- Diabetic TRD
- Condition/keywords
- tractional retinal detachment, diabetic traction detachment
- Description
- Poorly controlled DM missed many appointments due to CVA came in with complaint of floaters; initial red free; CF initial visit and three months post-op.

Initializing download.