-
By Olivia Rainey
Retina Specialists of Michigan
Co-author(s): Thomas Aaberg Jr., MD - Uploaded on May 27, 2016.
- Last modified by Olivia Rainey on May 5, 2020.
- Rating
- Appears in
- Miscellaneous
- Condition/keywords
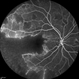
- Coats' disease, composite, fluorescein leakage, Heidelburg Spectralis, fluorescein angiogram (FA)
- Photographer
- Olivia Rainey
- Imaging device
-
Scanning laser ophthalmoscope
Heidelberg Spectralis - Description
- Composite fluorescein angiogram of the left eye of a man with Coats Disease.

Initializing download.