-
By Andrea Arriola-Lopez, MD MSc
Innovación Ocular
Co-author(s): Virgilio Morales-Cantón, MD - Uploaded on Jan 6, 2016.
- Last modified by Caroline Bozell on May 3, 2016.
- Image of the week
-
May 8, 2016
View all images of the week - Rating
- Appears in
- Miscellaneous
- Condition/keywords
- vascular anomaly, aneurysm, abnormal retinal vessel, hard exudates
- Photographer
- Andrea Elizabeth Arriola-Lopez, MSc MD
- Imaging device
- Fundus camera
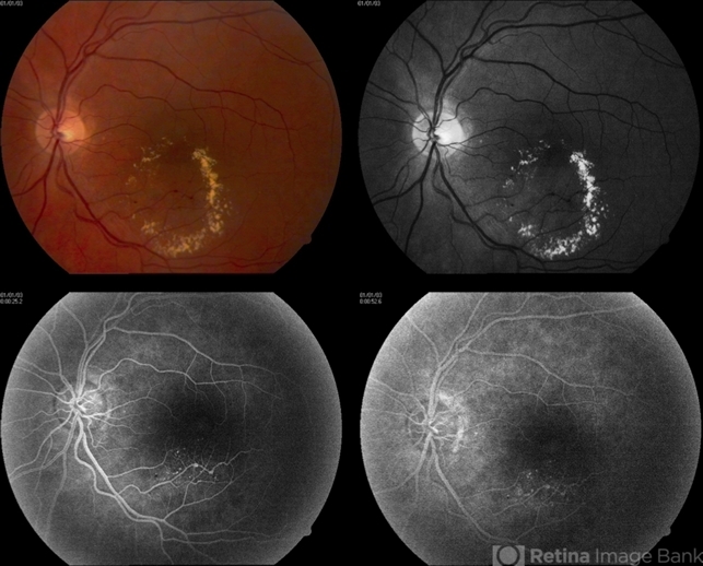
- Description
- 77-year-old man. Decrease of visual acuity OS. VA 20/30 IOP 14mmHg. Fundus examination findings: Hard exudates, microaneurysms near to fovea. OCT shows IRF. Late leakage on FA.

Initializing download.