-
By Raj K. Maturi, MD
Midwest Eye Institute & Retina Partners Midwest - Uploaded on Dec 15, 2015.
- Last modified by Caroline Bozell on Dec 16, 2015.
- Rating
- Appears in
- Miscellaneous
- Condition/keywords
- tuberculosis, macular scar
- Photographer
- Tom Steele, CRA Midwest Eye Institute Indianapolis, Indiana
- Imaging device
- Fundus camera
- Description
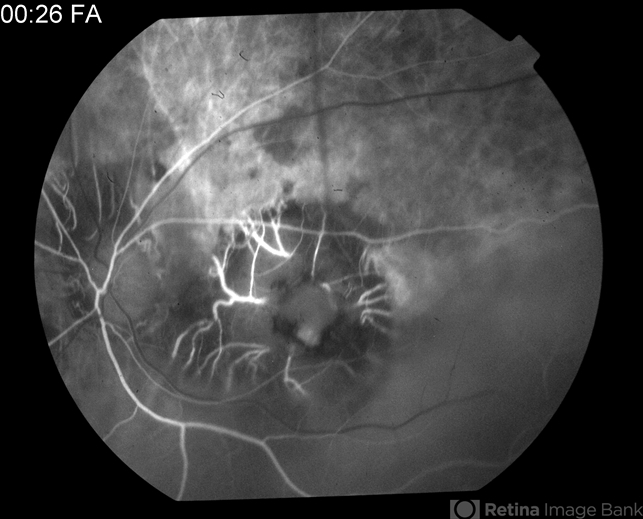
- 0:26 second FA of 81-year-old male - old tuberculosis scar.

Initializing download.