-
By Roy Schwartz, MD
Tel Aviv Sourasky Medical Center
Co-author(s): Shay Keren, MD - Uploaded on Nov 25, 2015.
- Last modified by Caroline Bozell on Nov 25, 2015.
- Rating
- Appears in
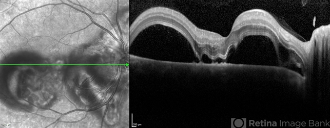
- Preeclampsia in a 30 YO
- Condition/keywords
- preeclampsia, central scotoma, blurred vision
- Photographer
- Galit Yair Pur
- Imaging device
- Optical coherence tomography system
- Description
- A 30-year-old presented with central scotoma and blurred vision a day following C-section for preeclampsia.

Initializing download.