-
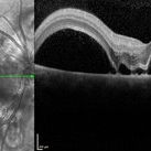
Preeclampsia in a 30-Year-Old - OCT- LE
Nov 25 2015 by Roy Schwartz, MD
A 30-year-old presented with central scotoma and blurred vision a day following C section for preeclampsia
Photographer: Galit Yair Pur
Condition/keywords: blurred vision, central scotoma, preeclampsia
-
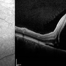
Preeclampsia in a 30-Year-Old - OCT - RE
Nov 25 2015 by Roy Schwartz, MD
A 30-year-old presented with central scotoma and blurred vision a day following C-section for preeclampsia.
Photographer: Galit Yair Pur
Condition/keywords: blurred vision, central scotoma, preeclampsia
-
Preeclampsia in a 30-Year-Old - Red Free Photograph - LE
Nov 25 2015 by Roy Schwartz, MD
A 30-year-old presented with central scotoma and blurred vision a day following C-section for preeclampsia.
Photographer: Galit Yair Pur
Condition/keywords: blurred vision, central scotoma, preeclampsia
-
Preeclampsia in a 30-Year-Old - Red Free Photograph - RE
Nov 25 2015 by Roy Schwartz, MD
A 30-year-old presented with central scotoma and blurred vision a day following C-section for preeclampsia.
Photographer: Galit Yair Pur
Condition/keywords: blurred vision, central scotoma, preeclampsia
-
Preeclampsia in a 30-Year-Old - Color Fundus Photograph - RE
Nov 25 2015 by Roy Schwartz, MD
A 30-year-old presented with central scotoma and blurred vision a day following C-section for preeclampsia.
Photographer: Galit Yair Pur
Condition/keywords: blurred vision, central scotoma, preeclampsia
-
Preeclampsia in a 30-Year-Old - Color Fundus Photograph - RE
Nov 25 2015 by Roy Schwartz, MD
A 30-year-old presented with central scotoma and blurred vision a day following C-section for preeclampsia.
Photographer: Galit Yair Pur
Condition/keywords: preeclampsia
