-
By Paul T. Finger, MD, FACS
The New York Eye Cancer Center
Co-author(s): Paul T Finger, MD - The New York Eye Cancer Center, New York, NY - Uploaded on Oct 2, 2015.
- Last modified by Caroline Bozell on Oct 2, 2015.
- Rating
- Appears in
- Choroidal Osteoma
- Condition/keywords
- retinoblastoma, MRI
- Imaging device
- MRI
- Description
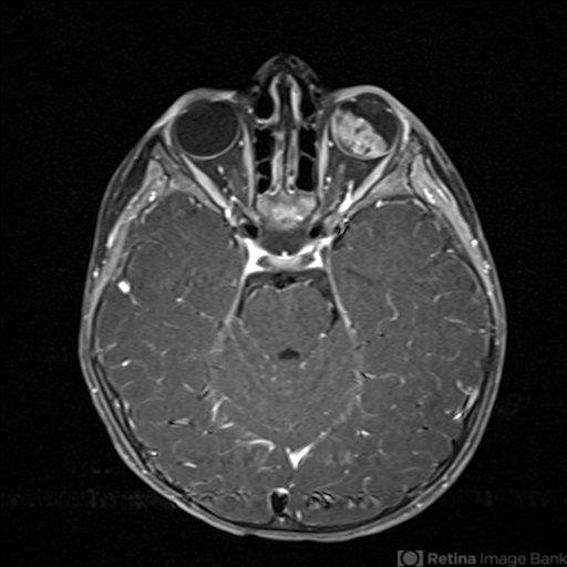
- MRI used to evaluate a child with retinoblastoma. Note the white tumor on the T1 weighted image. There is no evidence of extrascleral or intramural invasion nor PNET.

Initializing download.