-
By Xuefeng Feng, MD, PhD
Peking Uni. Third Hospital - Uploaded on Nov 12, 2013.
- Last modified by Caroline Bozell on Nov 12, 2013.
- Rating
- Appears in
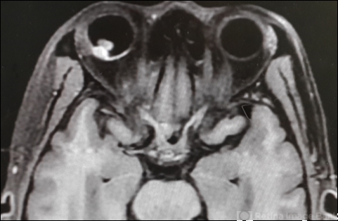
- chorioidal melanoma
- Condition/keywords
- MRI
- Description
- MRI-W1 image of a 52-year-old man with a choriod melanoma.

Initializing download.