-
By Hamid Ahmadieh, MD
Labbafinejad Medical Center - Uploaded on Jul 7, 2015.
- Last modified by Hamid Ahmadieh, MD on Jul 7, 2015.
- Rating
- Appears in
- Miscellaneous
- Condition/keywords
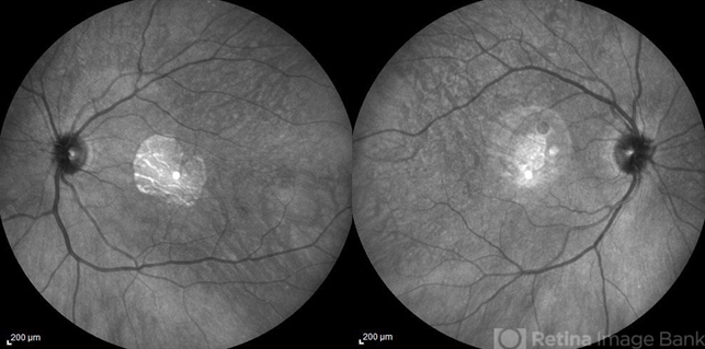
- infrared image, central areolar choroidal dystrophy (CACD)
- Photographer
- Soulmaz Shahmohammad, Negah Eye Center, Tehran, Iran
- Imaging device
- Specteralis
- Description
- Infrared image of both eyes of a 58-year-old man with progressive loss of vision. VA OD is 20/60 and VA OS is 20/400.

Initializing download.