-
By Hamid Ahmadieh, MD
Labbafinejad Medical Center
Co-author(s): Anoushirvan Rahimi, MD; Negah Eye Center, Tehran, Iran - Uploaded on Jan 31, 2015.
- Last modified by Caroline Bozell on Feb 2, 2015.
- Rating
- Appears in
- Miscellaneous
- Condition/keywords
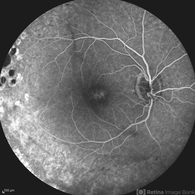
- x-linked retinoschisis (XLRS), foveal schisis
- Photographer
- Solmaz Shahmohammad, Negah Eye Center, Tehran, Iran
- Imaging device
- Heidelberg
- Description
- Late phase FA of the right eye of a 35-year-old man with x-linked retinoschisis. Please notice the foveal schisis.

Initializing download.