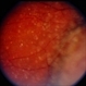
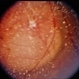
Choroidal Melanoma With Vitreous Seeding

file

File number: 23829


Comments

    Sign in to comment.

    Rating
    Appears in
    Choroidal Melanoma
    Condition/keywords
    vitreous seeding
    Description
    Underlying retinal choroidal melanoma with dense vitreous seeding of choroidal melanoma cells.

    Related files