-
Choroidal Melanoma
Jan 29 2015 by H. Michael Lambert, MD
Dark pigmented lesion in retina with elevation.
-
Amelanotic Choroidal Melanoma
Jan 29 2015 by H. Michael Lambert, MD
Elevated amelanotic mass.
-
Choroidal Melanoma
Jan 29 2015 by H. Michael Lambert, MD
Large distinct mass displaced into vitreous cavity.
-
Plaque Treatment
Jan 29 2015 by H. Michael Lambert, MD
Choroidal melanoma treated with radioactive plaque.
-
Gross Specimen Choroidal Melanoma
Jan 29 2015 by H. Michael Lambert, MD
Enucleated eye specimen of choroidal melanoma.
-
Amelanotic Choroidal Melanoma
Jan 29 2015 by H. Michael Lambert, MD
Elevated choroidal mass.
-
Choroidal Melanoma of Optic Nerve
Jan 29 2015 by H. Michael Lambert, MD
Choroidal melanoma of optic nerve.
Condition/keywords: optic nerve
-
Amelanotic Choroidal Melanoma
Jan 29 2015 by H. Michael Lambert, MD
Elevated choroidal mass.
-
Gross Specimen Choroidal Melanoma
Jan 29 2015 by H. Michael Lambert, MD
Enucleated eye specimen of choroidal melanoma.
Condition/keywords: gross specimen
-
Choroidal Melanoma
Jan 29 2015 by H. Michael Lambert, MD
Choroidal melanoma, enucleated eye specimen.
-
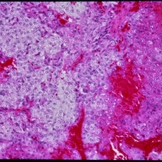
Choroidal Melanoma
Jan 29 2015 by H. Michael Lambert, MD
Pathology slide of choroidal melanoma.
Condition/keywords: pathology
-
Choroidal Melanoma
Jan 29 2015 by H. Michael Lambert, MD
Pathology slide of choroidal melanoma.
-
Choroidal Melanoma Gross Specimen
Jan 29 2015 by H. Michael Lambert, MD
Enucleated eye with choroidal melanoma under retina.
Condition/keywords: gross specimen
-
Choroidal Melanoma With Vitreous Seeding
Jan 29 2015 by H. Michael Lambert, MD
Underlying retinal choroidal melanoma with dense vitreous seeding of choroidal melanoma cells.
Condition/keywords: vitreous seeding
-
Choroidal Melanoma With Vitreous Seeding
Jan 29 2015 by H. Michael Lambert, MD
Underlying retinal choroidal melanoma with dense vitreous seeding of choroidal melanoma cells.
Condition/keywords: vitreous seeding
-
Choroidal Melanoma With Vitreous Seeding
Jan 29 2015 by H. Michael Lambert, MD
Underlying retinal choroidal melanoma with dense vitreous seeding of choroidal melanoma cells.
Condition/keywords: vitreous seeding
-
Choroidal Melanoma With Vitreous Seeding
Jan 29 2015 by H. Michael Lambert, MD
Underlying retinal choroidal melanoma with dense vitreous seeding of choroidal melanoma cells.
Condition/keywords: vitreous seeding
-
Choroidal Melanoma With Vitreous Seeding
Jan 29 2015 by H. Michael Lambert, MD
Underlying retinal choroidal melanoma with dense vitreous seeding of choroidal melanoma cells.
Condition/keywords: vitreous seeding
-
Choroidal Melanoma With Vitreous Seeding
Jan 29 2015 by H. Michael Lambert, MD
Underlying retinal choroidal melanoma with dense vitreous seeding of choroidal melanoma cells.
Condition/keywords: vitreous seeding
-
Choroidal Melanoma With Vitreous Seeding
Jan 29 2015 by H. Michael Lambert, MD
Underlying retinal choroidal melanoma with dense vitreous seeding of choroidal melanoma cells.
Condition/keywords: vitreous seeding
-
Choroidal Melanoma With Vitreous Seeding
Jan 29 2015 by H. Michael Lambert, MD
Underlying retinal choroidal melanoma with dense vitreous seeding of choroidal melanoma cells.
Condition/keywords: vitreous seeding
-
Choroidal Melanoma With Vitreous Seeding
Jan 29 2015 by H. Michael Lambert, MD
Underlying retinal choroidal melanoma with dense vitreous seeding of choroidal melanoma cells.
Condition/keywords: vitreous seeding
-
Ciliary Body Choroidal Melanoma
Jan 29 2015 by H. Michael Lambert, MD
Invivo presentation of ciliary body melanoma.
Condition/keywords: ciliary body melanoma
-
Ciliary Body Choroidal Melanoma
Jan 29 2015 by H. Michael Lambert, MD
Large mass hanging posterior to the lens superiorly in a dilated eye.
Condition/keywords: ciliary body melanoma
-
Choroidal Melanoma Regressed
Jan 29 2015 by H. Michael Lambert, MD
Regressed choroidal melanoma.
-
Choroidal Melanoma Regressed
Jan 29 2015 by H. Michael Lambert, MD
Regressed choroidal melanoma.
-
Choroidal Melanoma With Laser
-
Choroidal Melanoma Regressed
Jan 29 2015 by H. Michael Lambert, MD
Regressed choroidal melanoma.
-
Choroidal Melanoma Regressed
Jan 29 2015 by H. Michael Lambert, MD
Regressed choroidal melanoma.
-
Choroidal Melanoma Regressed
Jan 29 2015 by H. Michael Lambert, MD
Regressed choroidal melanoma.
-
Choroidal Melanoma Regressed
Jan 29 2015 by H. Michael Lambert, MD
Regressed choroidal melanoma.
-
Choroidal Melanoma With Laser
Jan 29 2015 by H. Michael Lambert, MD
Melanoma surrounded by laser.
-
Choroidal Melanoma Regressed
Jan 29 2015 by H. Michael Lambert, MD
Regressed choroidal melanoma.
-
Choroidal Melanoma Regressed
Jan 29 2015 by H. Michael Lambert, MD
Regressed choroidal melanoma.
-
Choroidal Melanoma With Laser
Jan 29 2015 by H. Michael Lambert, MD
Melanoma surrounded by laser.
Condition/keywords: choroid, laser, melanoma
-
Choroidal Melanoma Regressed
Jan 29 2015 by H. Michael Lambert, MD
Regressed choroidal melanoma.
-
Choroidal Melanoma Regressed
Jan 29 2015 by H. Michael Lambert, MD
Regressed choroidal melanoma.
-
Choroidal Melanoma
Jan 29 2015 by H. Michael Lambert, MD
Choroidal melanoma with laser and subretinal bleed.
-
Choroidal Melanoma Regressed
Jan 29 2015 by H. Michael Lambert, MD
Regressed choroidal melanoma.
-
Choroidal Melanoma Regressed
Jan 29 2015 by H. Michael Lambert, MD
Regressed choroidal melanoma.
-
Choroidal Melanoma Regressed
Jan 29 2015 by H. Michael Lambert, MD
Regressed choroidal melanoma.
