File number: 23711
Comments
-
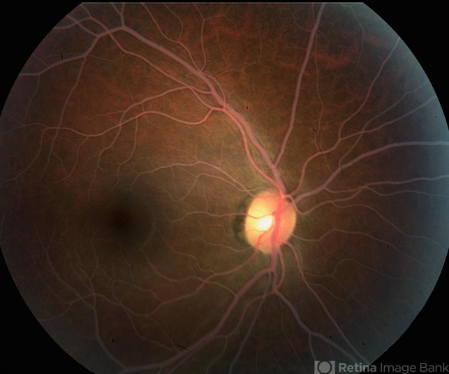
Niloofar Piri, MD (March 14 2015)The condition is called Lipemia retinalis, you see the vasuclature color change with very high serum lipid levels, it is very rare. The blood color is different secondary to lipid levels even higher than 1000 mg/dl which reflects itself in the vessels .
-
Stuart Alfred, CRA, OCT-C (March 2 2015)
Why, or how are the blood vessels magenta or pink in color? Never seen anything like this.
Sign in to comment.
-
By Robert T. Wendel, MD
Retinal Consultants Medical Group - Uploaded on Jan 20, 2015.
- Last modified by Caroline Bozell on Feb 6, 2015.
- Image of the week
-
Feb 8, 2015
View all images of the week - Rating
- Appears in
- Lipemia Retinalis
- Condition/keywords
- lipemia retinalis
- Description
- Lipemia-OD.

Initializing download.