-
By Thomas A. Ciulla, MD, MBA, FASRS
Indiana University School of Medicine - Uploaded on Dec 27, 2014.
- Last modified by Caroline Bozell on Dec 29, 2014.
- Rating
- Appears in
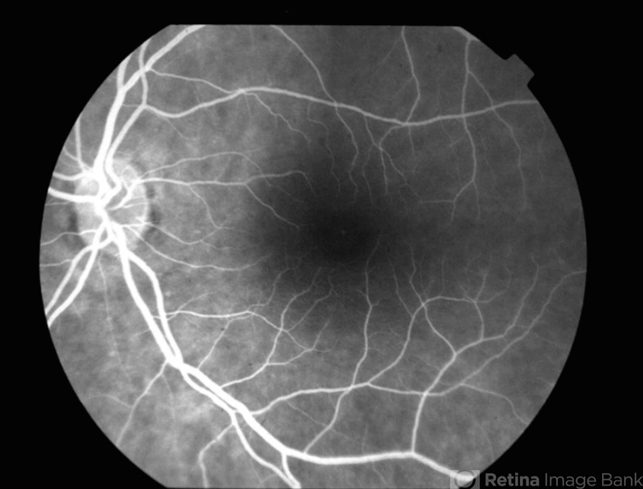
- Polypoidal Choroidal Vasculopathy
- Condition/keywords
- polypoidal choroidal vasculopathy (PCV), idiopathic polypoidal choroidal vasculopathy
- Photographer
- Charlotte Harris
- Imaging device
- Fundus camera
- Description
- Angiography of the fellow eye was normal.

Initializing download.