-
By Howard Schatz, MD
- Uploaded on Dec 22, 2014.
- Last modified by Chayal Patel on Dec 22, 2014.
- Rating
- Appears in
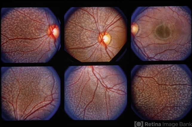
- Fundus Albipunctatus
- Condition/keywords
- fundus albipunctatus
- Description
- 12-year-old black female. Fundus albipunctatus. 20/20 OU.

Initializing download.