- 
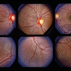
     Fundus Albipunctatus Fundus AlbipunctatusDec 22 2014 by Howard Schatz, MD 12-year-old black female. Fundus albipunctatus. NOP 20/20 OU. Condition/keywords: fundus albipunctatus 
- 
     Fundus Albipunctatus Fundus AlbipunctatusDec 22 2014 by Howard Schatz, MD 12-year-old black female. Fundus albipunctatus. 20/20 OU. Condition/keywords: fundus albipunctatus 
- 
     Fundus Albipunctatus Fundus AlbipunctatusDec 22 2014 by Howard Schatz, MD 12-year-old black female. Fundus albipunctatus. Condition/keywords: fundus albipunctatus 
- 
     Fundus albipunctatus Fundus albipunctatusDec 22 2014 by Howard Schatz, MD 22-year-old white female. Fundus albipunctatus. 20/25- and 20/200. Condition/keywords: fundus albipunctatus 
- 
     Fundus albipunctatus Fundus albipunctatus
- 
     Fundus albipunctatus Fundus albipunctatusDec 22 2014 by Howard Schatz, MD 22-year-old white female. Fundus albipunctatus. 20/25- and 20/200. Condition/keywords: fundus albipunctatus 
- 
     Fundus albipunctatus Fundus albipunctatus
- 
     Fundus albipunctatus Fundus albipunctatus
- 
     Fundus Albipunctatus Fundus Albipunctatus
