-
By Thomas A. Ciulla, MD, MBA, FASRS
Indiana University School of Medicine - Uploaded on Sep 15, 2014.
- Last modified by Caroline Bozell on Sep 16, 2014.
- Rating
- Appears in
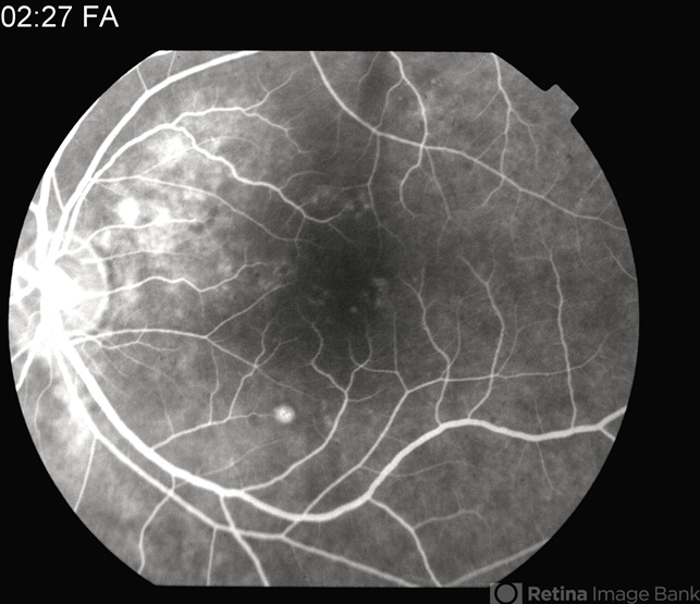
- Choroidal Hemangioma
- Condition/keywords
- choroidal hemangioma, choroidal tumor, FA mid phase
- Photographer
- Charlotte Harris
- Imaging device
- Fundus camera
- Description
- Mid-phase fluorescein angiography reveals a well-circumscribed coarse hyperfluorescent vascular pattern within the lesion.

Initializing download.