-
By Mallika Goyal, MD
Apollo Health City
Co-author(s): Sridhar A, MD, Apollo Health City, Jubilee Hills, Hyderabad-500033 - Uploaded on Jul 31, 2014.
- Last modified by Caroline Bozell on Jul 31, 2014.
- Rating
- Appears in
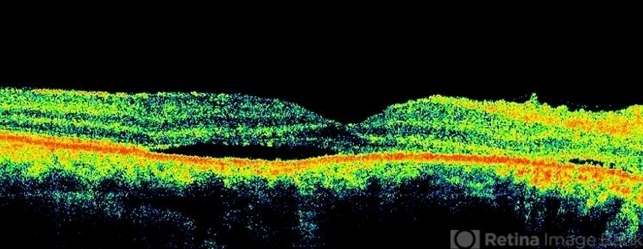
- Chronic CSCR resolution with AntiVEGF
- Condition/keywords
- chronic central serous chorioretinopathy (CSCR)
- Photographer
- Mallika Goyal, MD, Apollo Health City, Jubilee Hills, Hyderabad-500033
- Imaging device
- Fundus camera
- Description
- OCT at presentation on Jan 23, 2014 of the right eye of a 55-year-old male with chronic CSCR (> 3 years) shows significant subretinal fluid. Treated with avastin twice: Jan and March, 2014 with complete resolution by Jul 30, 2014.

Initializing download.