-
Chronic CSCR Resolution With Anti-VEGF
Jul 31 2014 by Mallika Goyal, MD
Fundus photograph of the right eye of a 55-year-old male who presented with symptoms from chronic CSCR (> 3 years).
Photographer: Mallika Goyal, MD, Apollo Health City, Jubilee Hills, Hyderabad-500033
Condition/keywords: chronic central serous chorioretinopathy (CSCR)
-
Chronic CSCR Resolution With Anti-VEGF
Jul 31 2014 by Mallika Goyal, MD
Fundus photograph of the left eye of a 55-year-old male who presented with fellow eye symptoms from chronic CSCR (> 3 years).
Photographer: Mallika Goyal, MD, Apollo Health City, Jubilee Hills, Hyderabad-500033
Condition/keywords: chronic central serous chorioretinopathy (CSCR)
-
Chronic CSCR Resolution With Anti-VEGF
Jul 31 2014 by Mallika Goyal, MD
Fluorescein of the right eye of a 55-year-old male who presented with symptoms from chronic CSCR (> 3 years) shows extensive RPE window defects and occasional areas of intense hyperfluorescence.
Photographer: Mallika Goyal, MD, Apollo Health City, Jubilee Hills, Hyderabad-500033
Condition/keywords: chronic central serous chorioretinopathy (CSCR)
-
Chronic CSCR Resolution With Anti-VEGF
Jul 31 2014 by Mallika Goyal, MD
Fluorescein of the inferior fundus of the right eye of a 55-year-old male who presented with symptoms from chronic CSCR (> 3 years) shows extensive RPE window defects and occasional areas of intense hyperfluorescence.
Photographer: Mallika Goyal, MD, Apollo Health City, Jubilee Hills, Hyderabad-500033
Condition/keywords: chronic central serous chorioretinopathy (CSCR)
-
Chronic CSCR Resolution With Anti-VEGF
Jul 31 2014 by Mallika Goyal, MD
Fluorescein of the left eye of a 55-year-old male who presented with fellow eye symptoms from chronic CSCR (> 3 years) shows extensive RPE window defects.
Photographer: Mallika Goyal, MD, Apollo Health City, Jubilee Hills, Hyderabad-500033
Condition/keywords: chronic central serous chorioretinopathy (CSCR)
-
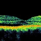
Chronic CSCR Resolution With Anti-VEGF
Jul 31 2014 by Mallika Goyal, MD
OCT at presentation on Jan 23, 2014 of the right eye of a 55-year-old male with chronic CSCR (> 3 years) shows significant subretinal fluid. Treated with avastin twice: Jan and March, 2014 with complete resolution by Jul 30, 2014.
Photographer: Mallika Goyal, MD, Apollo Health City, Jubilee Hills, Hyderabad-500033
Condition/keywords: chronic central serous chorioretinopathy (CSCR)
-
Chronic CSCR Resolution With Anti-VEGF
Jul 31 2014 by Mallika Goyal, MD
OCT dated Mar 7, 2014 of the right eye of a 55-year-old male with chronic CSCR (> 3 years) shows trace residual subretinal fluid following anti-VEGF therapy. Treated with avastin twice: Jan and March, 2014.
Photographer: Mallika Goyal, MD, Apollo Health City, Jubilee Hills, Hyderabad-500033
Condition/keywords: chronic central serous chorioretinopathy (CSCR)
-
Chronic CSCR Resolution With Anti-VEGF
Jul 31 2014 by Mallika Goyal, MD
OCT dated Apr 25, 2014 of the right eye of a 55-year-old male with chronic CSCR (> 3 years) shows trace residual subretinal fluid following anti-VEGF therapy. Treated with avastin twice: Jan and March, 2014.
Photographer: Mallika Goyal, MD, Apollo Health City, Jubilee Hills, Hyderabad-500033
Condition/keywords: chronic central serous chorioretinopathy (CSCR)
-
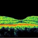
Chronic CSCR Resolution With Anti-VEGF
Jul 31 2014 by Mallika Goyal, MD
OCT dated Jul 30, 2014 of the right eye of a 55-year-old male with chronic CSCR (> 3 years) that resolved completely with anti-VEGF therapy. Treated with avastin twice: Jan and March, 2014.
Photographer: Mallika Goyal, MD, Apollo Health City, Jubilee Hills, Hyderabad-500033
Condition/keywords: chronic central serous chorioretinopathy (CSCR)
