-
By Avris Romario Diparaja Siahaan
- Uploaded on Jul 26, 2014.
- Last modified by Caroline Bozell on Jul 28, 2014.
- Rating
- Appears in
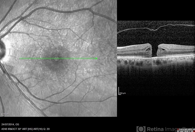
- Macular Hole
- Condition/keywords
- macular hole, infrared image, optical coherence tomography (OCT)
- Photographer
- Avris Romario Diparaja Siahaan, Klinik Mata Nusantara
- Imaging device
-
Scanning laser ophthalmoscope
Heidelberg Spectralis - Description
- An OCT image of a 55-year-old-woman with macular hole on her right eye.

Initializing download.