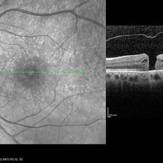
-
Macular Hole
Jul 26 2014 by Avris Romario Diparaja Siahaan
An OCT image of a 55-year-old-woman with macular hole on her right eye.
Photographer: Avris Romario Diparaja Siahaan, Klinik Mata Nusantara
Imaging device: Heidelberg Spectralis
Condition/keywords: infrared image, macular hole, optical coherence tomography (OCT)
-
Macular Hole
Jul 26 2014 by Avris Romario Diparaja Siahaan
Autofluorescence image of a 55-year-old-woman with macular hole on her right eye.
Photographer: Avris Romario Diparaja Siahaan, Klinik Mata Nusantara
Imaging device: Heidelberg Spectralis
Condition/keywords: autofluorescence imaging, macular hole
