-
By Avris Romario Diparaja Siahaan
- Uploaded on May 14, 2014.
- Last modified by Avris Romario Diparaja Siahaan on Jun 13, 2014.
- Rating
- Appears in
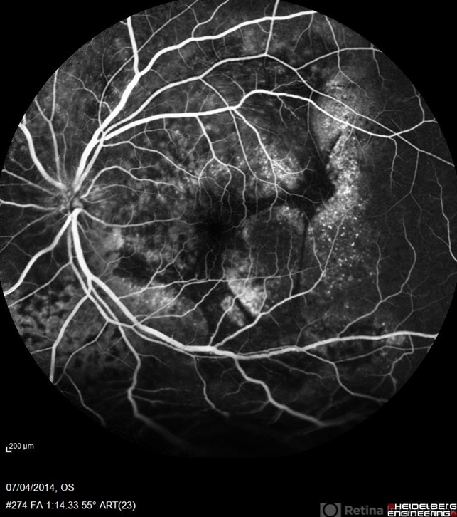
- VogtKoyanagiHarada
- Condition/keywords
- multifocal central serous chorioretinopathy (CSCR)
- Photographer
- Avris Romario Diparaja Siahaan, Klinik Mata Nusantara
- Imaging device
-
Scanning laser ophthalmoscope
Heidelberg HRA + OCT Spectralis - Description
- FA (Early Phase) a 38-year-old man with multifocal CSR and inferior exudative retinal detachment on both eyes (Harada Syndrome) with 55 degree lens

Initializing download.