-
Multifocal Exudative Detachments Due to VKH
May 14 2014 by Avris Romario Diparaja Siahaan
Blue auto fluorescence fundus photograph a 38-year-old man with multifocal CSR and inferior exudative retinal detachment on both eyes (Harada Syndrome). This patient has underwent a photocoagulation laser on both eyes.
Photographer: Avris Romario Diparaja Siahaan, Klinik Mata Nusantara
Imaging device: Heidelberg HRA + OCT Spectralis
Condition/keywords: autofluorescence imaging, multifocal central serous chorioretinopathy (CSCR)
-
Multifocal Exudative Detachments Due to VKH
May 14 2014 by Avris Romario Diparaja Siahaan
Blue auto fluorescence fundus photograph a 38-year-old man with multifocal CSR and inferior exudative retinal detachment on both eyes (Harada Syndrome). This patient has underwent a photocoagulation laser on both eyes.
Photographer: Avris Romario Diparaja Siahaan, Klinik Mata Nusantara
Imaging device: Heidelberg HRA + OCT Spectralis
Condition/keywords: fundus autofluorescence (FAF), multifocal central serous chorioretinopathy (CSCR)
-
Multifocal Exudative Detachments Due to VKH
May 14 2014 by Avris Romario Diparaja Siahaan
Fundus (matrix) photograph a 38-year-old man with multifocal CSR and inferior exudative retinal detachment on both eyes (Harada Syndrome).
Photographer: Avris Romario Diparaja Siahaan, Klinik Mata Nusantara
Imaging device: Topcon TRC 50 DX Type IA
Condition/keywords: fundus photograph, multifocal central serous chorioretinopathy (CSCR)
-
Multifocal Exudative Detachments Due to VKH
May 14 2014 by Avris Romario Diparaja Siahaan
Fundus (Matrix) photograph a 38-year-old man with multifocal CSR and inferior exudative retinal detachment on both eyes (Harada Syndrome).
Photographer: Avris Romario Diparaja Siahaan, Klinik Mata Nusantara
Imaging device: Topcon TRC 50 DX Type IA
Condition/keywords: fundus photograph, multifocal central serous chorioretinopathy (CSCR)
-
Multifocal Exudative Detachments Due to VKH
May 14 2014 by Avris Romario Diparaja Siahaan
Fundus Photograph a 38-year-old man with multifocal CSR and inferior exudative retinal detachment on both eyes (Harada Syndrome).
Photographer: Avris Romario Diparaja Siahaan, Klinik Mata Nusantara
Imaging device: Topcon TRC 50 DX Type IA
Condition/keywords: fundus photograph, multifocal central serous chorioretinopathy (CSCR)
-
Multifocal Exudative Detachments Due to VKH
May 14 2014 by Avris Romario Diparaja Siahaan
Fundus Photograph a 38-year-old man with multifocal CSR and inferior exudative retinal detachment on both eyes (Harada Syndrome).
Photographer: Avris Romario Diparaja Siahaan, Klinik Mata Nusantara
Imaging device: Topcon TRC 50 DX Type IA
Condition/keywords: fundus photograph, multifocal central serous chorioretinopathy (CSCR)
-
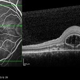
Multifocal Exudative Detachments Due to VKH
May 14 2014 by Avris Romario Diparaja Siahaan
OCT a 38-year-old man with multifocal CSR and inferior exudative retinal detachment on both eyes (Harada Syndrome).
Photographer: Avris Romario Diparaja Siahaan, Klinik Mata Nusantara
Imaging device: Heidelberg HRA + OCT Spectralis
Condition/keywords: multifocal central serous chorioretinopathy (CSCR), optical coherence tomography (OCT)
-
Multifocal Exudative Detachments Due to VKH
May 14 2014 by Avris Romario Diparaja Siahaan
OCT a 38-year-old man with multifocal CSR and inferior exudative retinal detachment on both eyes (Harada Syndrome).
Photographer: Avris Romario Diparaja Siahaan, Klinik Mata Nusantara
Imaging device: Heidelberg HRA + OCT Spectralis
Condition/keywords: multifocal central serous chorioretinopathy (CSCR), optical coherence tomography (OCT)
-
Multifocal Exudative Detachments Due to VKH
May 14 2014 by Avris Romario Diparaja Siahaan
OCT a 38-year-old man with multifocal CSR and inferior exudative retinal detachment on both eyes (Harada Syndrome).
Photographer: Avris Romario Diparaja Siahaan, Klinik Mata Nusantara
Imaging device: Heidelberg HRA + OCT Spectralis
Condition/keywords: multifocal central serous chorioretinopathy (CSCR), optical coherence tomography (OCT)
-
Multifocal Exudative Detachments Due to VKH
May 14 2014 by Avris Romario Diparaja Siahaan
OCT a 38-year-old man with multifocal CSR and inferior exudative retinal detachment on both eyes (Harada Syndrome).
Photographer: Avris Romario Diparaja Siahaan, Klinik Mata Nusantara
Imaging device: Heidelberg HRA + OCT Spectralis
Condition/keywords: multifocal central serous chorioretinopathy (CSCR), optical coherence tomography (OCT)
-
Multifocal Exudative Detachments Due to VKH
May 14 2014 by Avris Romario Diparaja Siahaan
OCT a 38-year-old man with multifocal CSR and inferior exudative retinal detachment on both eyes (Harada Syndrome).
Photographer: Avris Romario Diparaja Siahaan, Klinik Mata Nusantara
Imaging device: Heidelberg HRA + OCT Spectralis
Condition/keywords: multifocal central serous chorioretinopathy (CSCR), optical coherence tomography (OCT)
-
Multifocal Exudative Detachments Due to VKH
May 14 2014 by Avris Romario Diparaja Siahaan
OCT a 38-year-old man with multifocal CSR and inferior exudative retinal detachment on both eyes (Harada Syndrome).
Photographer: Avris Romario Diparaja Siahaan, Klinik Mata Nusantara
Imaging device: Heidelberg HRA + OCT Spectralis
Condition/keywords: multifocal central serous chorioretinopathy (CSCR), optical coherence tomography (OCT)
-
Multifocal Exudative Detachments Due to VKH
May 14 2014 by Avris Romario Diparaja Siahaan
FA (composite Image) a 38-year-old man with multifocal CSR and inferior exudative retinal detachment on both eyes (Harada Syndrome).
Photographer: Avris Romario Diparaja Siahaan, Klinik Mata Nusantara
Imaging device: Heidelberg HRA + OCT Spectralis
Condition/keywords: multifocal central serous chorioretinopathy (CSCR)
-
Multifocal Exudative Detachments Due to VKH
May 14 2014 by Avris Romario Diparaja Siahaan
FA (Late Phase) a 38-year-old man with multifocal CSR and inferior exudative retinal detachment on both eyes (Harada Syndrome).
Photographer: Avris Romario Diparaja Siahaan, Klinik Mata Nusantara
Imaging device: Heidelberg HRA + OCT Spectralis
Condition/keywords: multifocal central serous chorioretinopathy (CSCR)
-
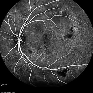
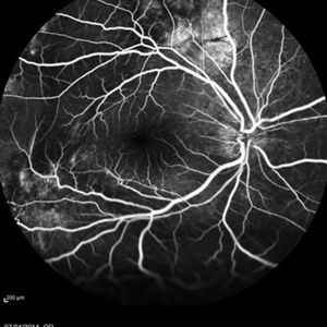
Multifocal Exudative Detachments Due to VKH
May 14 2014 by Avris Romario Diparaja Siahaan
FA a 38-year-old man with multifocal CSR and inferior exudative retinal detachment on both eyes (Harada Syndrome).
Photographer: Avris Romario Diparaja Siahaan, Klinik Mata Nusantara
Imaging device: Heidelberg HRA + OCT Spectralis
Condition/keywords: multifocal central serous chorioretinopathy (CSCR)
-
Multifocal Exudative Detachments Due to VKH
May 14 2014 by Avris Romario Diparaja Siahaan
FA a 38-year-old man with multifocal CSR and inferior exudative retinal detachment on both eyes (Harada Syndrome).
Photographer: Avris Romario Diparaja Siahaan, Klinik Mata Nusantara
Imaging device: Heidelberg HRA + OCT Spectralis
Condition/keywords: multifocal central serous chorioretinopathy (CSCR)
-
Multifocal Exudative Detachments Due to VKH
May 14 2014 by Avris Romario Diparaja Siahaan
FA (Early Phase) a 38-year-old man with multifocal CSR and inferior exudative retinal detachment on both eyes (Harada Syndrome) with 55 degree lens
Photographer: Avris Romario Diparaja Siahaan, Klinik Mata Nusantara
Imaging device: Heidelberg HRA + OCT Spectralis
Condition/keywords: multifocal central serous chorioretinopathy (CSCR)
-
Multifocal Exudative Detachments Due to VKH
May 14 2014 by Avris Romario Diparaja Siahaan
FA (Early Phase) a 38-year-old man with multifocal CSR and inferior exudative retinal detachment on both eyes (Harada Syndrome) with 55 degree lens
Photographer: Avris Romario Diparaja Siahaan, Klinik Mata Nusantara
Imaging device: Heidelberg HRA + OCT Spectralis
Condition/keywords: multifocal central serous chorioretinopathy (CSCR)
-
Multifocal Exudative Detachments Due to VKH
May 14 2014 by Avris Romario Diparaja Siahaan
ICG (Late Phase) a 38-year-old man with multifocal CSR and inferior exudative retinal detachment on both eyes (Harada Syndrome).
Photographer: Avris Romario Diparaja Siahaan, Klinik Mata Nusantara
Imaging device: Heidelberg HRA + OCT Spectralis
Condition/keywords: indocyanine green (ICG) angiography, multifocal central serous chorioretinopathy (CSCR)
-
Multifocal Exudative Detachments Due to VKH
May 14 2014 by Avris Romario Diparaja Siahaan
ICG (Mid Phase) a 38-year-old man with multifocal CSR and inferior exudative retinal detachment on both eyes (Harada Syndrome).
Photographer: Avris Romario Diparaja Siahaan, Klinik Mata Nusantara
Imaging device: Heidelberg HRA + OCT Spectralis
Condition/keywords: indocyanine green (ICG) angiography, multifocal central serous chorioretinopathy (CSCR)
-
Multifocal Exudative Detachments Due to VKH
May 14 2014 by Avris Romario Diparaja Siahaan
ICG (Early Phase) a 38-year-old man with multifocal CSR and inferior exudative retinal detachment on both eyes (Harada Syndrome).
Photographer: Avris Romario Diparaja Siahaan, Klinik Mata Nusantara
Imaging device: Heidelberg HRA + OCT Spectralis
Condition/keywords: indocyanine green (ICG) angiography, multifocal central serous chorioretinopathy (CSCR)
-
Multifocal Exudative Detachments Due to VKH
May 14 2014 by Avris Romario Diparaja Siahaan
ICG (Late Phase) a 38-year-old man with multifocal CSR and inferior exudative retinal detachment on both eyes (Harada Syndrome) with 102 degree lens
Photographer: Avris Romario Diparaja Siahaan, Klinik Mata Nusantara
Imaging device: Heidelberg HRA + OCT Spectralis
Condition/keywords: indocyanine green (ICG) angiography, multifocal central serous chorioretinopathy (CSCR)
-
Multifocal Exudative Detachments Due to VKH
May 14 2014 by Avris Romario Diparaja Siahaan
ICG (Mid Phase) a 38-year-old man with multifocal CSR and inferior exudative retinal detachment on both eyes (Harada Syndrome) with 102 degree lens
Photographer: Avris Romario Diparaja Siahaan, Klinik Mata Nusantara
Imaging device: Heidelberg HRA + OCT Spectralis
Condition/keywords: indocyanine green (ICG) angiography
-
VOGT KOYANAGI HARADA
Oct 7 2015 by Avris Romario Diparaja Siahaan
Simultaneous FA + ICG (early phase) of a 42-year-old woman with Harada Syndrome in both eyes.
Photographer: Yohanes Harry Purwanto, Klinik Mata Nusantara
Imaging device: Heidelberg HRA + OCT
Condition/keywords: indocyanine green (ICG) angiography
-
Vogt Koyanagi Harada
Oct 7 2015 by Avris Romario Diparaja Siahaan
Simultaneous FA + ICG (early phase) of a 42-year-old woman with Harada Syndrome in both eyes.
Photographer: Yohanes Harry Purwanto, Klinik Mata Nusantara
Imaging device: Heidelberg HRA + OCT
Condition/keywords: early phase, indocyanine green (ICG) angiography
-
Vogt Koyanagi Harada
Oct 7 2015 by Avris Romario Diparaja Siahaan
Simultaneous FA + ICG (Late Phase) of a 42-year-old woman with Harada Syndrome in both eyes.
Photographer: Yohanes Harry Purwanto, Klinik Mata Nusantara
Imaging device: Heidelberg HRA + OCT
Condition/keywords: indocyanine green (ICG) angiography, late phase, Vogt-Koyanagi-Harada
-
Vogt Koyanagi Harada
Oct 7 2015 by Avris Romario Diparaja Siahaan
Simultaneous FA + ICG (Late Phase) of a 42-year-old woman with Harada Syndrome in both eyes.
Photographer: Yohanes Harry Purwanto, Klinik Mata Nusantara
Imaging device: Heidelberg HRA + OCT
Condition/keywords: indocyanine green (ICG) angiography, Vogt-Koyanagi-Harada
-
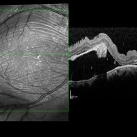
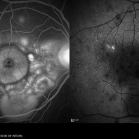
Vogt Koyanagi Harada
Oct 7 2015 by Avris Romario Diparaja Siahaan
A FA and OCT of a 42-year-old woman with Harada Syndrome in both eyes.
Photographer: Yohanes Harry Purwanto, Klinik Mata Nusantara
Imaging device: Heidelberg HRA + OCT
Condition/keywords: optical coherence tomography (OCT), Vogt-Koyanagi-Harada
-
VOGT KOYANAGI HARADA
Oct 7 2015 by Avris Romario Diparaja Siahaan
Fundus photograph of a 42-year-old woman with a Harada Syndrome in both eyes.
Photographer: Avris Romario Diparaja Siahaan, Klinik Mata Nusantara
Imaging device: Topcon TRC 50DX IA
Condition/keywords: color fundus photograph, Vogt-Koyanagi-Harada
-
Vogt Koyanagi Harada
Oct 7 2015 by Avris Romario Diparaja Siahaan
Fundus photograph of a 42-year-old woman with a harada syndrome in both eyes.
Photographer: Avris Romario Diparaja Siahaan, Klinik Mata Nusantara
Imaging device: Topcon TRC 50DX IA
Condition/keywords: color fundus photograph, Vogt-Koyanagi-Harada
