-
By Susanna S. Park, MD, PhD
University of California Davis Eye Center - Uploaded on Feb 24, 2014.
- Last modified by Susanna S. Park, MD, PhD on Jul 9, 2014.
- Rating
- Appears in
- Uveitis
- Condition/keywords
- CMV retinitis, optical coherence tomography (OCT)
- Photographer
- Karishma Chandra, University of California Davis Eye Center
- Imaging device
-
Optical coherence tomography system
Cirrus OCT - Description
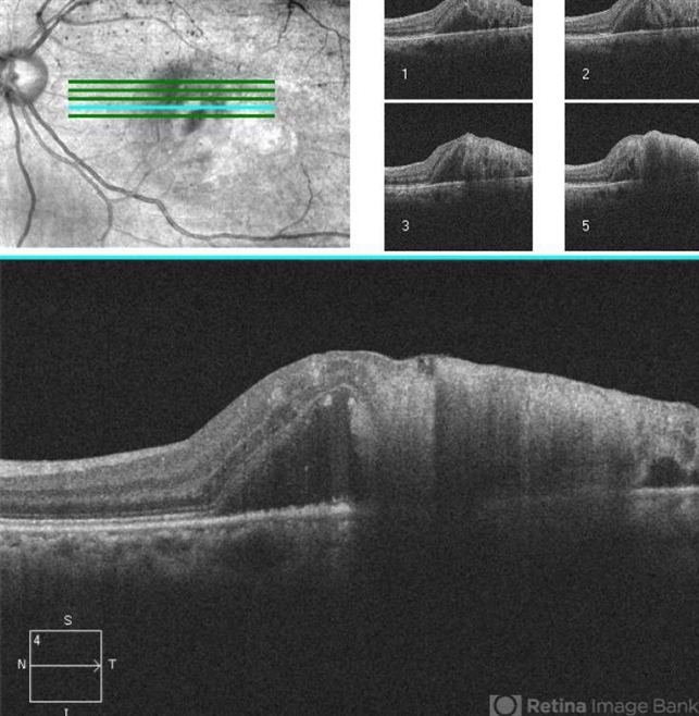
- Macular OCT of a 59-year-old woman on systemic chemotherapy for acute lymphocytic leukemia with new vision loss. Macular infiltration and submacular fluid are noted. Fundus examination showed a hemorrhagic retinitis in the macula from cytomegalovirus infection.

Initializing download.