-
By Korey Starkey
Retina Specialists of Michigan - Uploaded on Oct 7, 2025.
- Last modified by Joshua Friedman on Nov 25, 2025.
- Image of the week
-
Nov 30, 2025
View all images of the week - Rating
- Appears in
- Miscellaneous
- Condition/keywords
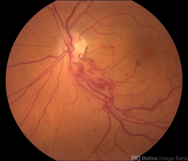
- retinal arteriovenous malformations, inferior arcade, Topcon, fundus photography, branch retinal vein occlusion (BRVO), retinal neovascularization, microaneurysms
- Photographer
- Korey Starkey
- Imaging device
-
Fundus camera
Topcon - Description
- 55 year-old patient presents with retinal arteriovenous malformation in the left eye and BRVO w/retinal neovascularization. Patient is asymptomatic. No edema or treatment necessary today, signs of old RVO with MAs along inferior arcade and dot heme.

Initializing download.