-
By Akansha Sharma
Co-author(s): DR. MANISH NAGPAL, DR MALVIKA SINGH - Uploaded on Sep 12, 2025.
- Last modified by Joshua Friedman on Sep 12, 2025.
- Rating
- Appears in
- Miscellaneous
- Condition/keywords
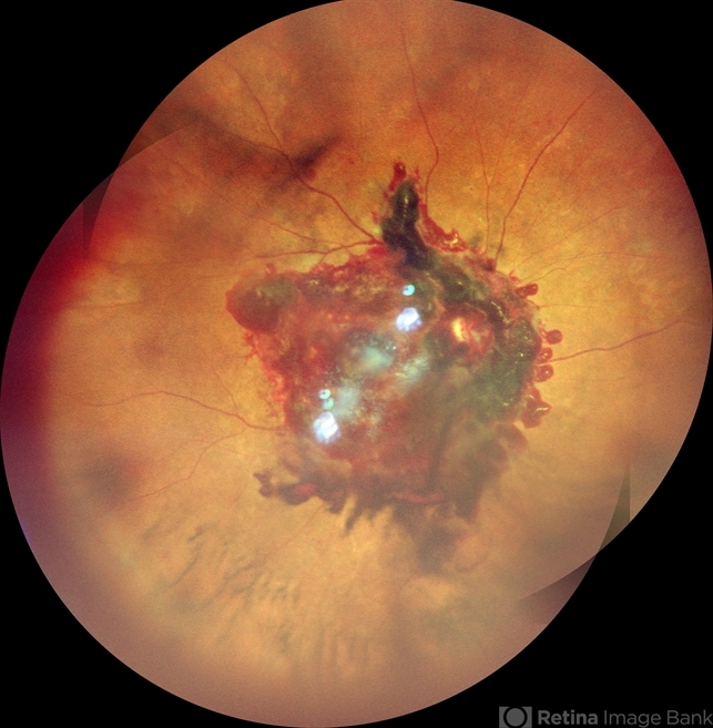
- SHH, subhyaloid hemorrhage, VH, vitreous hemorrhage, sub ILM hemorrhage
- Photographer
- DR. AKANSHA SHARMA
- Imaging device
- Scanning laser ophthalmoscope
- Description
- Color fundus photograph of a 56 year old hypertensive and diabetic female who presented with subhyaloid hemorrhage along with vitreous hemorrhage after being administered high dose anti-platelet therapy pre- and post a cardiac procedure.

Initializing download.