-
By Malvika Singh
Retina Foundation
Co-author(s): Dr Manish Nagpal, Retina Foundation, Ahmedabad, India - Uploaded on Jul 23, 2025.
- Last modified by Joshua Friedman on Jul 24, 2025.
- Rating
- Appears in
- Miscellaneous
- Condition/keywords
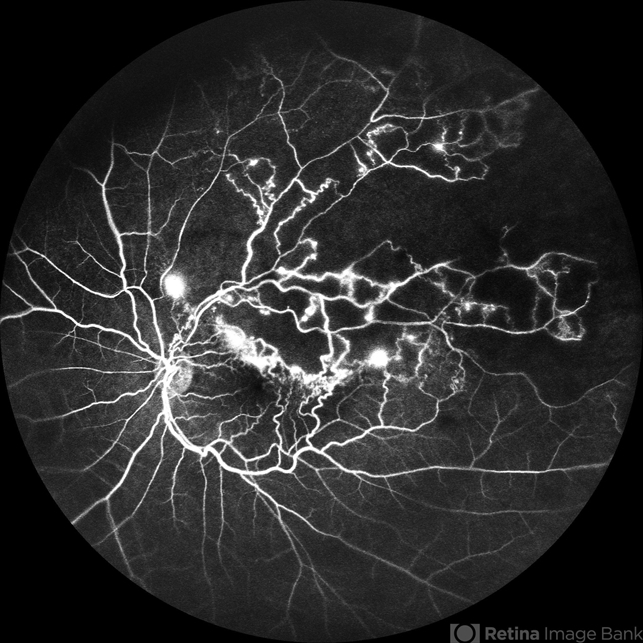
- branch retinal vein occlusion (BRVO), FLUORESCEIN ANGIOGRAPHY, fluorescein leakage, CNP areas, macular edema
- Photographer
- Dr Malvika Singh, Retina Foundation, Ahmedabad, India
- Imaging device
-
Scanning laser ophthalmoscope
Mirante SLO/OCT - Description
- Fluorescein angiogram of a 52 year old man showing capillary non perfusion areas and leakages along the superotemporal arcade and at the macula.

Initializing download.