-
By Gustavo Uriel Fonseca Aguirre
Hospital de la Luz - Uploaded on May 21, 2025.
- Last modified by Joshua Friedman on May 22, 2025.
- Rating
- Appears in
- Miscellaneous
- Condition/keywords
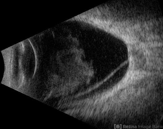
- high myopia, Retina detachment, posterior staphyloma
- Photographer
- Gustavo U. Fonseca Aguirre, Hospital Conde de Valenciana, Ciudad de México
- Imaging device
- Ultrasonography device
- Description
- This B-mode axial ultrasound scan of a highly myopic eye demonstrates a prominent posterior staphyloma with an associated inferior retinal detachment sparing the macular region.

Initializing download.