-
By Kimberly Wakester
Retina Consultants of Carolina, P.A. - Uploaded on Nov 5, 2024.
- Last modified by Joshua Friedman on Nov 5, 2024.
- Rating
- Appears in
- Miscellaneous
- Condition/keywords
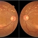
- Multifocal, IOL
- Photographer
- Kimberly Wakester, COA
- Imaging device
-
Fundus camera
Topcon TRC-50DX - Description
- Anterior segment photograph of a 74-year-old woman with a Multifocal PC IOL in place in the left eye.

Initializing download.