File number: 131164
Comments
-
Manish Nagpal, MD, FRCS (UK), FASRS (October 3 2024)
this is beautiful
Sign in to comment.
-
By Nassim Alejandro Abreu Arbaje, MD
Hospital Elias Santana
Co-author(s): Nassim Abreu, Dr, ElĂas Santana Hospital - Uploaded on Aug 26, 2024.
- Last modified by Joshua Friedman on Dec 5, 2024.
- Image of the week
-
Dec 8, 2024
View all images of the week - Rating
- Appears in
- Miscellaneous
- Condition/keywords
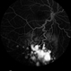
- OCTA, OCT Angiography, ultra-wide field imaging
- Photographer
- Johel Arrieta, TowardPi
- Imaging device
-
Optical coherence tomography system
TowardPi BMizar 400khz - Description
- Ultra-wide field OCT angiography of a 39 year-old healthy male. The photo attempts to explore retinal vasculature up to the ora serrata.

Initializing download.