-
By Varsha Reddy
Co-author(s): Viren Govindaraju, MD, Associated Retinal Consultants; Sandeep Randhawa, MD, Associated Retinal Consultants - Uploaded on Aug 10, 2024.
- Last modified by Joshua Friedman on Aug 12, 2024.
- Rating
- Appears in
- Miscellaneous
- Condition/keywords
- intralenticular gas, pneumatic retinopexy, post-op
- Imaging device
- Ultrasonography device
- Description
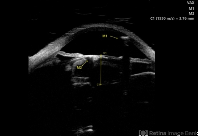
- Ultrasound biomicroscopy image of gas in the anterior chamber (A, M1) and lenticular cortex (A, M2) of a 68-year-old man following pneumatic retinopexy. Patient presented with a macula-off retinal detachment requiring vitrectomy, with pneumatic retinopexy done in office at post-operative week 1 to supplement poor gas fill.

Initializing download.