-
Intralenticular Gas
Aug 10 2024 by Varsha Reddy
Ultrasound biomicroscopy image of resolving intralenticular gas at office visit approximately 4 weeks later (B). The lens remained unchanged in thickness at 3.78 mm before and after resolution of the gas bubble, but developed a cataract.
Condition/keywords: intralenticular gas, pneumatic retinopexy, post-op
-
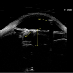
Intralenticular Gas
Aug 10 2024 by Varsha Reddy
Ultrasound biomicroscopy image of gas in the anterior chamber (A, M1) and lenticular cortex (A, M2) of a 68-year-old man following pneumatic retinopexy. Patient presented with a macula-off retinal detachment requiring vitrectomy, with pneumatic retinopexy done in office at post-operative week 1 to supplement poor gas fill.
Condition/keywords: intralenticular gas, pneumatic retinopexy, post-op
