-
By Aniruddh Soni, DO DNB FLVPEI
Anupam Eye Hospital
Co-author(s): Dr Aniruddh Soni, Anupam Eye Hospital, Jaipur, INDIA - Uploaded on Jun 25, 2024.
- Last modified by Joshua Friedman on Jun 25, 2024.
- Rating
- Appears in
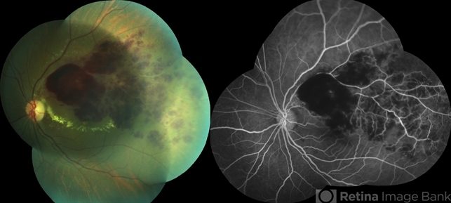
- Combined Retinal Artery Macro Aneurysm with Retinal Vein Occlusion
- Condition/keywords
- macroaneurysm, Vein Occlusion
- Photographer
- Dr Aniruddh Soni, Anupam Eye Hospital, Jaipur, INDIA
- Imaging device
- Fundus camera
- Description
- Left Eye Color Fundus and Fluorescein angiography Monatge of a 55 Year Female showing Retinal Artery Macro Aneurysm with Retinal Vein Occlusion.

Initializing download.