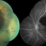
Colour Fundus and Fluorescein Angiography Montage of a 55 year Lady with Combined Retinal Artery Macro Aneurysm with Retinal Vein Occlusion
-
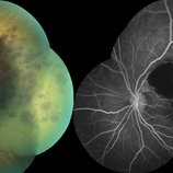
Combined Retinal Artery Macro Aneurysm with Retinal Vein Occlusion
Jun 25 2024 by Aniruddh Soni, DO DNB FLVPEI
Left Eye Color Fundus and Fluorescein angiography Monatge of a 55 Year Female showing Retinal Artery Macro Aneurysm with Retinal Vein Occlusion.
Photographer: Dr Aniruddh Soni, Anupam Eye Hospital, Jaipur, INDIA
Condition/keywords: macroaneurysm, Vein Occlusion
-
Combined Retinal Artery Macro Aneurysm with Retinal Vein Occlusion
Jun 25 2024 by Aniruddh Soni, DO DNB FLVPEI
Color Fundus and Fluorescein Angiography Montage of a 55 year Lady with Combined Retinal Artery Macro Aneurysm with Retinal Vein Occlusion.
Photographer: Dr Aniruddh Soni, Anupam Eye Hospital, Jaipur, INDIA
Condition/keywords: macroaneurysm, Vein Occlusion
-
Posterior Scleritis
Aug 5 2024 by Aniruddh Soni, DO DNB FLVPEI
Fundus photo of a 35 year old female presenting with pain and defective vision.
Photographer: Dr Aniruddh Soni
Imaging device: Zeiss Visucam 500
Condition/keywords: posterior scleritis
