-
By SHISHIR VERGHESE, MS, FVRS, FAICO (Retina)
EYE MICROSURGERY AND LASER CENTRE, TIRUVALLA,KERALA
Co-author(s): DIVYA SHAJI - Uploaded on Jun 14, 2024.
- Last modified by Joshua Friedman on Jun 17, 2024.
- Rating
- Appears in
- Miscellaneous
- Condition/keywords
- dislocated IOL, dislocated intraocular lens (IOL), proliferative diabetic retinopathy (PDR)
- Photographer
- SHISHIR VERGHESE
- Imaging device
- Scanning laser ophthalmoscope
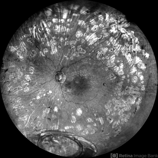
- Description
- Grey color fundus photograph of the left eye of a 78 year old gentleman who has undergone pars plana vitrectomy for proliferative diabetic retinopathy, shows dislocated intraocular lens bag complex lying on the inferior retina

Initializing download.