-
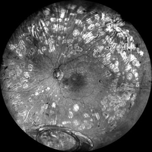
Bietti's Crystalline Dystrophy
Oct 3 2020 by SHISHIR VERGHESE, MS, FVRS, FAICO (Retina)
Fundus photo of the left eye of a 21-year-old gentleman with complaints of reduced vision, nyctalopia and visual field reduction. Fundus photograph showing numerous small glistening yellow-white retinal crystalline deposits in the retina.
Photographer: Shishir Verghese, Aravind Eye Hospital, Coimbatore
Condition/keywords: Bietti's crystalline dystrophy, heredomacular degeneration, retinal degeneration
-
Bietti's Crystalline Dystrophy
Oct 3 2020 by SHISHIR VERGHESE, MS, FVRS, FAICO (Retina)
Fundus photo of the right eye of a 21-year-old gentleman with complaints of reduced vision, nyctalopia and visual field reduction. Fundus photograph showing numerous small glistening yellow-white retinal crystalline deposits in the retina.
Photographer: Shishir Verghese, Aravind Eye Hospital, Coimbatore
Condition/keywords: Bietti's crystalline dystrophy, hereditary retinal degeneration, heredomacular degeneration
-
All That Glitters is Not Gold
Mar 4 2021 by SHISHIR VERGHESE, MS, FVRS, FAICO (Retina)
Enhanced tapetoretinal reflex in a 70-year-old female patient with retinitis pigmentosa along with corresponding auto-fluorescence showing patchy hypoautofluorescence with surrounding granular hyperautofluorescence
Photographer: SHISHIR VERGHESE, ARAVIND EYE HOSPITAL AND POSTGRADUATE INSTITUTE OF OPHTHALMOLOGY, COIMBATORE
Imaging device: ZEISS, CLARUS
Condition/keywords: retinitis pigmentosa, tapetoretinal reflex
-
Juvenile X-Linked Retinoschisis
Mar 4 2021 by SHISHIR VERGHESE, MS, FVRS, FAICO (Retina)
Fundus Photograph of a 25-year-old male with juvenile x-linked retinoschisis with inner retinal defects seen above superior and inferior arcades in both eyes. Corresponding OCT showing retinal schisis involving fovea.
Photographer: Shishir Verghese, Aravind Eye Hospital and Postgraduate institute of Ophthalmology, Coimbatore
Imaging device: Zeiss Clarus
Condition/keywords: juvenile retinoschisis, retinoschisis
-
An Intricate Web of Vasculature
Jan 5 2022 by SHISHIR VERGHESE, MS, FVRS, FAICO (Retina)
Fundus photograph of a 55-year-old gentleman with decreased vision in the left eye for 6 months. History of uncontrolled diabetes and hypertension for 15 years. Best corrected visual acuity in the left eye was 5/60.
Photographer: SHISHIR VERGHESE
Imaging device: ZEISS CLARUS
Condition/keywords: diabetes, proliferative diabetic retinopathy (PDR)
-
Table Top Tractional Retinal Detachment
Apr 4 2023 by SHISHIR VERGHESE, MS, FVRS, FAICO (Retina)
Fundus photograph of a 65 year old male with history of uncontrolled diabetes mellitus showing table top tractional retinal detachment
Photographer: Dr Shishir Verghese
Imaging device: Nidek Mirante
Condition/keywords: proliferative diabetic retinopathy (PDR), tractional retinal detachment
-
Time to Chill
Jan 23 2024 by SHISHIR VERGHESE, MS, FVRS, FAICO (Retina)
Intraoperative surgical video of a 65 year old female patient with advanced proliferative diabetic retinopathy showing neovascularization at the ora serrata for which a cryopexy is being done to cause regression. This video highlights a previously undocumented grape like Neovascularization at the ora serrata in this patient with advanced proliferative diabetic retinopathy.
Condition/keywords: Advanced Proliferative diabetic retinopathy, Cryopexy, neovascularization
-
The Bullet Ridden Retina
Feb 17 2024 by SHISHIR VERGHESE, MS, FVRS, FAICO (Retina)
Fundus image obtained of a case of lasered branch retinal vein occlusion (BRVO) with fibrovascular proliferation (FVP) where the laser marks have given way to multiple small retinal holes due to traction from the same.
Photographer: DIVYA SHAJI
Imaging device: NIDEK MIRANTE
Condition/keywords: BRVO, chronic retinal detachment
-
What Lies Beneath
Jun 14 2024 by SHISHIR VERGHESE, MS, FVRS, FAICO (Retina)
Grey color fundus photograph of the left eye of a 78 year old gentleman who has undergone pars plana vitrectomy for proliferative diabetic retinopathy, shows dislocated intraocular lens bag complex lying on the inferior retina
Photographer: SHISHIR VERGHESE
Condition/keywords: dislocated intraocular lens (IOL), dislocated IOL, proliferative diabetic retinopathy (PDR)
-
Sapphires in the Surgical Field
Dec 15 2025 by SHISHIR VERGHESE, MS, FVRS, FAICO (Retina)
Intraoperative image of a rhegmatogenous retinal detachment demonstrating a large PFCL bubble surrounded by multiple Brilliant Blue Green (BBG)–stained micro-PFCL bubbles, creating a striking sapphire-like appearance across the surgical field.
Photographer: SHISHIR VERGHESE
Imaging device: IKEGAMI INTRAOPERATIVE CAMERA
Condition/keywords: brilliant blue staining, Perfluorocarbon Liquid
-
Subretinal Hemorrhage
Jan 19 2026 by SHISHIR VERGHESE, MS, FVRS, FAICO (Retina)
A 79 Year old male on anticoagulants with massive subretinal hemorrhage secondary to polypoidal choroidal vasculopathy (PCV)
Photographer: SHISHIR VERGHESE, AMITA EYE CARE
Condition/keywords: polypoidal choroidal vasculopathy (PCV), subretinal hemorrhage
-
Subretinal Hemorrhage
Jan 19 2026 by SHISHIR VERGHESE, MS, FVRS, FAICO (Retina)
A 79 Year old male on anticoagulants with massive subretinal hemorrhage (Greyscale image) secondary to polypoidal choroidal vasculopathy (PCV).
Photographer: SHISHIR VERGHESE, AMITA EYE CARE
Condition/keywords: polypoidal choroidal vasculopathy (PCV), subretinal hemorrhage
-
The Macular Forest
Jan 27 2026 by SHISHIR VERGHESE, MS, FVRS, FAICO (Retina)
Central fundus photograph of a 60 year-old woman with advanced proliferative diabetic retinopathy shows extensive neovascularization at the macula.
Photographer: SHISHIR VERGHESE
Condition/keywords: neovascular frond, neovascular membrane, proliferative diabetic retinopathy (PDR)
